30 Giugno 2021 210 visualizzazioni Chirurgia
[VIDEO] I DUE SEGRETI PER TRASFORMARE CASI COMPLESSI IN BAZZECCOLE. O MEGLIO: PERCHE’ QUALCUNO TRATTA I CASI COMPLESSI E QUALCUNO NO
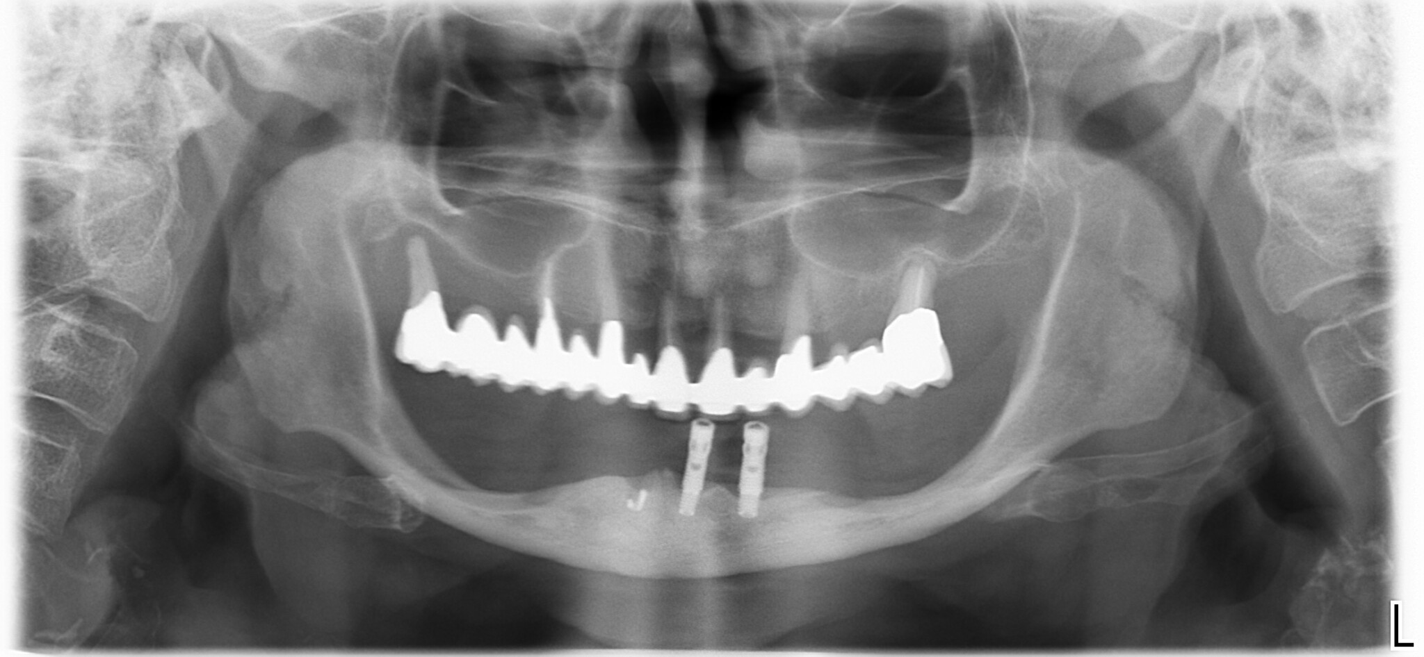
La paziente ritratta in questa panoramica arrivò da me più di tre anni fa.
lamentava il fatto che la situazione era ormai insostenibile ed era convinta di non poter mettere impianti perché la situazione della mandibola era troppo compromessa.
“Porca vacca” pensai
“Un’altra povera paziente male informata dal vecchio dentista”. Ma non dissi nulla.
Chiacchierando un po’ venne fuori che non uno, ma molti colleghi avevano detto alla signora che non c’era nulla da fare.
Considera che la signora in questione è intelligente, dinamica, acculturata, con buona disponibilità economica ed ha un figlio, giovane medico, che la supportava nella ricerca di una soluzione…
Se fino a quel punto non era saltata fuori una soluzione significa che i colleghi che l’avevano vista in precedenza erano veramente convinti che non ci fosse nulla da fare, o forse, che il caso fosse troppo complesso e incasinato.
La mia valutazione fu semplice, veloce, direi praticamente immediata.
“All-on-4 sopra e sotto” dissi a Lorena, la segretaria che seguiva la visita.
Alla signora spiegai qualcosa in più ma non molto:
“Signora le hanno detto una cosa sbagliata, lei senza dubbio può riavere i suoi denti belli e fissi; e faremo anche abbastanza in fretta”.
Ora, non mi fraintendere, non voglio sostenere che questo sia un caso da principianti, sicuramente è un caso che richiede esperienza, buona mano e un bel manico.
Ma sono convinto che questa fosse caratteristica comune di tutti i colleghi che in precedenza avevano valutato il caso. Di scuro il precedente dentista che le aveva messo quegli impianti che vedi tempo prima metteva impianti da molti anni. Sicuramente la signora aveva chiesto pareri a validi professionisti, visto anche il mestiere del figlio. Eppure tutti avevano rimbalzato il caso.
Quindi se l’esperienza e la manualità non c’entrano molto, quali sono i fattori che hanno fatto considerare a me SEMPLICE e OVVIO un caso che diversi colleghi avevano considerato irrisolvibile?
In inglese potremo chiamarlo OVERTHINKING, in italiano l’espressione giusta è:
SEGHE MENTALI.
Farsi le seghe mentali su ogni aspetto di ogni singolo caso è ciò che ci rovina dal punto di vista professionale e che ci costringe, alla fine, ad essere non etici con i nostri pazienti.
Perché, vedila come vuoi, ma chi ha detto a quella signora che non si poteva fare nulla e l’ha costretta a 10 anni di dentiera (!!!!) le ha mentito ed ha fatto una cosa scorretta.
Purtroppo ancora oggi gran parte della formazione nel nostro settore ragiona in questo modo:
-Più è complesso più è bello
-Più passaggi fai più sei qualitativo
-Ogni paziente è diverso dall’altro e bisogna reinventarsi soluzioni ad hoc per ognuno di essi
-La cosa super difficile è trovare la giusta occlusione
-Servono 10 corsi annuali prima di poter fare una singola corona su impianto perché se non ti sommergo di inutili stronzate teoriche non vale
Una marea di cavolate pazzesche che portano, alla fine, ai risultati di cui sopra.
Se io fossi stato uno di quei “formatori/relatori” avrei fatto un post del tipo: guarda quanto sono stato bravo a risolvere un caso così difficile!
Lascia che ti spieghi una cosa che forse non sai.
Il nostro cervello, che è quello deputato, tra le altre cose, a prendere decisioni (alcune molto banali come muovere o no la gamba sinistra dopo aver appoggiato la destra o dirigersi o no verso il frigo per prendere dell’acqua, altre molto più complesse come trattare o no un caso chirurgico difficile) funziona più o meno come i muscoli.
Tutti sappiamo che i muscoli consumano energia e se li sovraccarichiamo si stancano fino ad arrivare a non funzionare più bene per ore o giorni.
Se vuoi provare fai adesso 300 squat di fila e dopodomani prova a fare un difficile trekking in montagna con tratti esposti, ti renderai conto di quanto i muscoli delle tue gambe funzioneranno male e sbaglieranno i movimenti, soprattutto in discesa.
Dicevamo, il cervello funziona allo stesso modo e quando prende 300 decisioni di fila in poco tempo subisce quello che si chiama AFFATICAMENTO COGNITIVO.
Facciamo un altro esperimento. Ora fai altri 350 squat. Se ne hai già fatti 300 prima prevedo che non tanto oltre il centesimo rimarrai giù e non riuscirai più ad alzarti (a meno che tu non sia Gabriele Cristofaro o qualche altro mio studente che fa CrossFit ).
Questo perché il muscolo raggiunge un affaticamento tale che non riesce più a funzionare o comunque non riesce più a funzionare bene.
La stessa identica cosa avviene per il cervello. Più decisioni prendi nell’arco della giornata, più lui si affatica, meno sarai in grado di discernere e decidere e più errori farai nelle tue valutazioni.
Se tu sei abituato, perché qualcuno ti ha insegnato, a ri-ragionare ogni cosa, il tuo cervello sarà costantemente affaticato e quando verrà il momento in cui il ragionamento è veramente necessario e la scelta è veramente importante, farà cilecca.
Ora potrai obiettare che se il cervello è come un muscolo allora più lo usi più si allena: VERISSIMO!
Ma anche se sei allenato benissimo, il giorno dopo una maratona non corri un’altra maratona. Anzi, la settimana prima della maratona non corri proprio per niente.
L’allenamento serve, ma eseguire CONTINUAMENTE sforzi ti porta all’impossibilità di “fare la prestazione importante” quando serve. L’allenamento va dosato per bene!
Se hai compreso quanto ho provato a spiegare sopra, saprai come ho fatto a risolvere nella mia testa il caso di cui parlavamo (ed eccoci finalmente ai due segreti):
1) Ho spento (in realtà ho lasciato spento) il cervello e
2) Ho seguito pedissequamente il protocollo decisionale per questi casi
Zero seghe mentali.
A quel punto nulla di più facile (per chi ha sufficiente esperienza!!!):
- Lembo a spessore totale
- Esposizione dei mentonieri
- Scavi intorno agli impianti vecchi e li togli
- Spiani il minimo possibile
- Metti 4 impianti stando a 5mm dai nervi
- Attui il nostro protocollo per il carico immediato e… les jeux sont faits.
Qui vedi la guarigione a 3 mesi:
L’impronta:
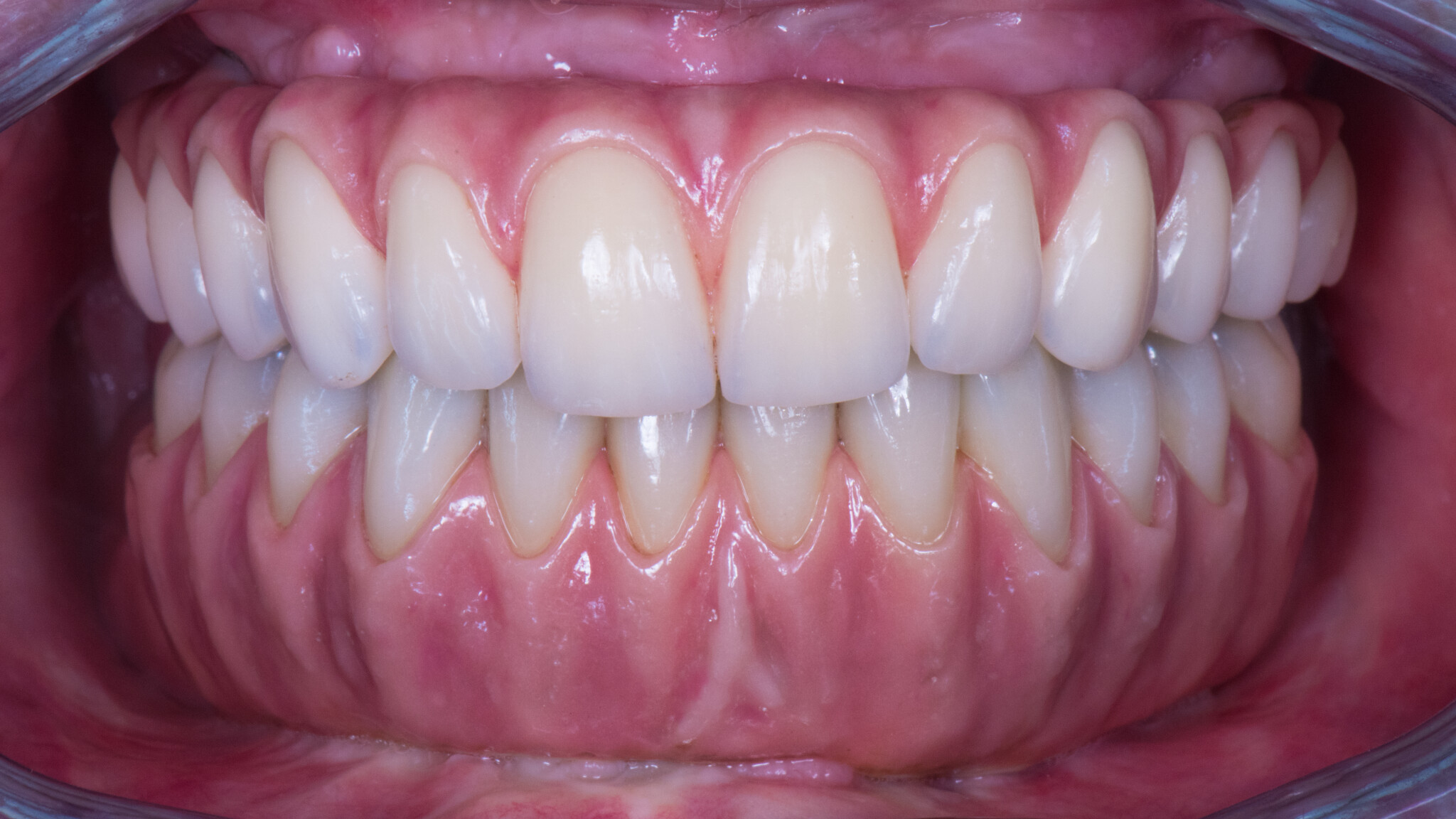
e il lavoro finito.
Panoramica
Oggi siamo a 3 anni di follow-up e la paziente è una delle nostre principali sostenitrici, non perde occasione di farci pubblicità e di portarci altri pazienti.
Ti lascio al video, magari lo troverai interessante.
A presto!!
2 pensieri su
[VIDEO] I DUE SEGRETI PER TRASFORMARE CASI COMPLESSI IN BAZZECCOLE. O MEGLIO: PERCHE’ QUALCUNO TRATTA I CASI COMPLESSI E QUALCUNO NO
Lascia un commento
You must be logged in to post a comment.








Corrado Tavelli
1 Luglio 2021 14:45
Sottoscrivo al 100%
impianti Nobel parallel ?
Ciao Corrado
Forgione luigi
1 Luglio 2021 17:54
Bene tutto fatto pulito e veloce