6 Luglio 2017 228 visualizzazioni Chirurgia
NON DEVI MAI E POI MAI FARE UN PRELIEVO DAL RAMO. MAI! CAPITO?
Ogni tanto mi capita di postare la documentazione di qualche mia riabilitazione sui social network o di partecipare a qualche “dibattito” tra colleghi e riscontro una tendenza prevalentemente italiana ma che si dipana anche per il mondo:
“beh… mi sembra un po’ troppo invasiva come soluzione!” ?
Frase ovviamente riferita a riabilitazioni complesse che vengono gestite, appunto, nella loro complessità.
L’arte della scrittura persuasiva vuole che la soluzione arrivi alla fine dopo averti fatto capire che hai un problema ma in questo caso voglio ribaltare le carte e far arrivare la soluzione subito.
Partiamo da un presupposto:
Nelle strutture ospedaliere il dolore viene trattato con una modifica della terapia se il paziente lamenta un valore su scala VAS maggiore uguale a 4.
Il valore medio del dolore massimo percepito durante la settimana successiva ai miei interventi di importante ricostruzione ossea verticale e orizzontale, che sono la maggior causa scatenante della nostra frase simbolo:
è di 3,1. E la SODDISFAZIONE media registrata a 7 giorni dalla chirurgia (“quanto è soddisfatto dell’intervento che ha subito?”) è di 8.8! Considera che una buona parte di questi pazienti ha subito una ricostruzione completa del mascellare con blocchi, doppio rialzo di seno e doppio prelievo dai rami mandibolari.
Porca vacca! O sono un taumaturgo… o non so raccogliere i dati (spero che quella giusta non sia questa perché a far mettere una crocetta al paziente su una riga sarebbe capace pure Lucignolo con le orecchie da asino)… o c’è un problema culturale nella formazione odontoiatrica che
DEVE ASSOLUTAMENTE ESSERE SCARDINATO!
Lascia che ti spieghi.
Io la notte dormo benissimo, veramente come un bambino, perdo i sensi prima che l’orecchio arrivi a toccare il cuscino e al mattino quando arrivo in studio sono assolutamente inconsapevole di ciò che dovrò fare, inoltre non sono sommerso da telefonate di gente che sta morendo di dolore, gonfiore e sanguinamenti incontrollabili eppure… incredibile… mi occupo per lo più di chirurgia avanzata. Quella “un po’ troppo invasiva!”
Voglio spiegarti il perché della mia mancanza di stress…
“beh è ovvio il perché, caro Federico… sei abituato!”
Purtroppo non funziona così. Come avrai forse visto dalle foto del mio profilo, a latere del lavoro, pratico il pugilato, non mi voglio fregiare del nome di pugile che non merito ma ho affrontato qualche mese fa un incontro agonistico e mi ci sono dovuto preparare duramente. Veniamo al dunque… più passa il tempo più quando devo salire sul ring per fare sparring mi cago letteralmente sotto, eppure dopo più di due anni dovrei essermi abituato. Nei primi mesi non vedevo l’ora che il maestro mi facesse “muovere”, ora non mi tiro certo indietro, ma se la cosa non accade sono molto più contento. E sai perché?
PERCHE’ QUANDO UNA COSA FA MALE DAVVERO NON TI CI ABITUI!
Puoi affrontarla, preparartici, fare il duro ma sotto sotto c’è una cosa che si chiama “sguarone”. Una sensazione tutt’altro che piacevole: hai presente la pubblicità dell’imodium… quando la diarrea ti sorprende!?
Effettivamente nei primi interventi il sommovimento intestinale c’era eccome ma poi ho smesso di “sguarare” perché io mio subconscio ha capito che gli interventi “un po’ troppo invasivi” non facevano male a me e non facevano male ai miei pazienti.
MA PRIMA NESSUNO ME LO AVEVA DETTO! Anzi, mi avevano detto assolutamente il contrario:
SONO INTERVENTI UN PO’ TROPPO INVASIVI… PER UN ODONTOIATRA… IN UNO STUDIO PRIVATO… IN ANESTESIA LOCALE… PER LA MAGGIOR PARTE DEI PAZIENTI… E TUTTE QUELLE CAZZATE CHE CONOSCI BENISSIMO!
Il dogma dell’invasività pervade ancora la cultura odontoiatrica e non si pensa che stiamo parlando di interventi “piccolissimi” se relazionati alla maggior parte delle altre branche chirurgiche.
Una cosa è sicuramente vera: sono interventi molto difficili che richiedono mano felice, ottima conoscenza e molta esperienza. Ma il fatto che siano difficili non vuol dire che siano invasivi per il paziente!
Il problema sta proprio qui: “confondere”? la complessità tecnica con l’invasività. E questo, credimi, toglie una marea di opportunità terapeutiche, che sarebbero ottimali ma che vengono scartate perché “sono un po’ troppo invasive!”
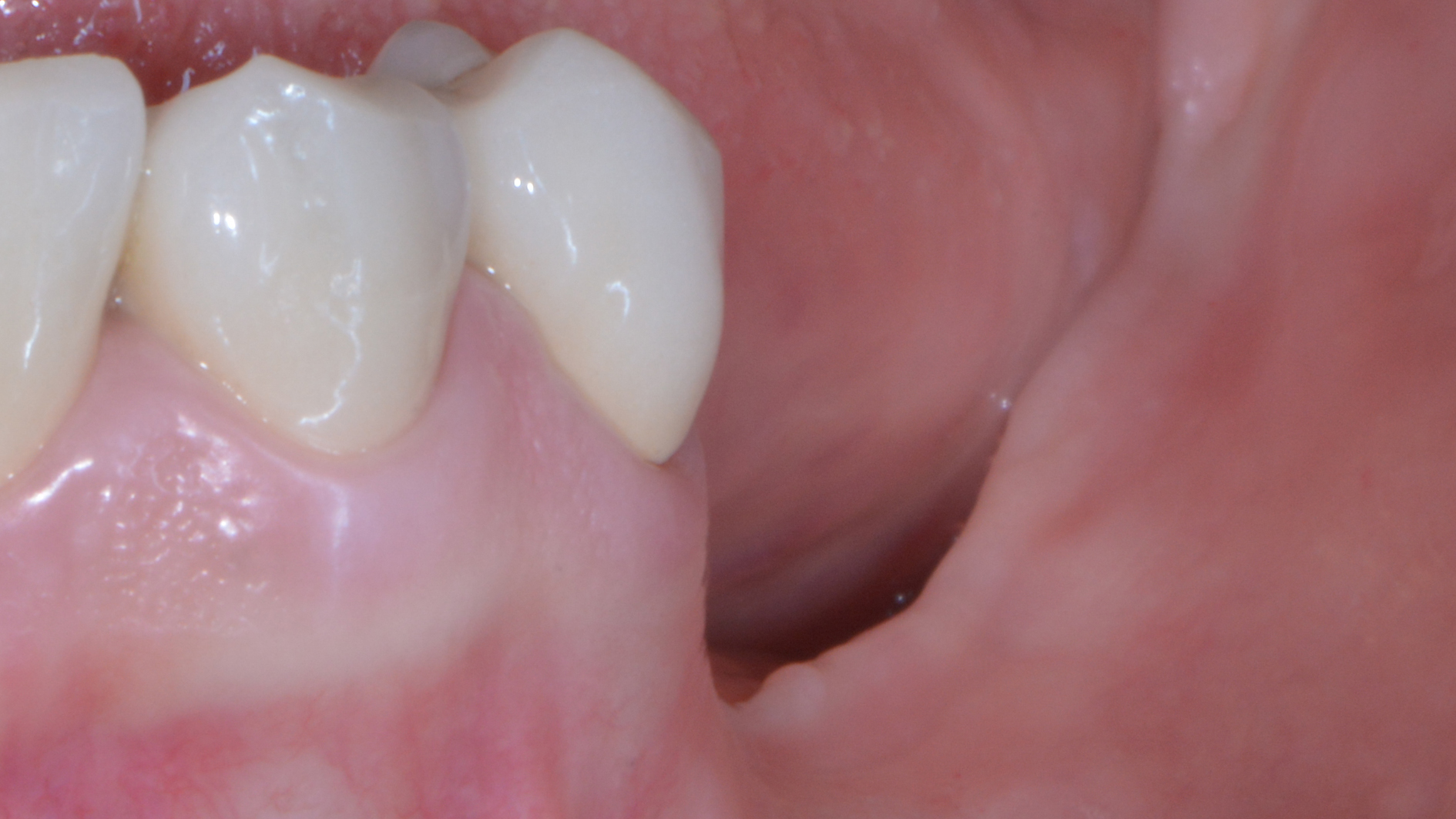
Come credi che si possa risolvere un caso come questo…
o come questo…
senza tecniche di chirurgia avanzata?
Attenzione a non confondere: ho detto avanzata. Non invasiva.
Sarò molto diretto:
NON SI POSSONO CONFRONTARE TECNICHE CHE PORTANO A RISULTATI COMPLETAMENTE DIVERSI PARAGONANDONE L’INVASIVITA’.
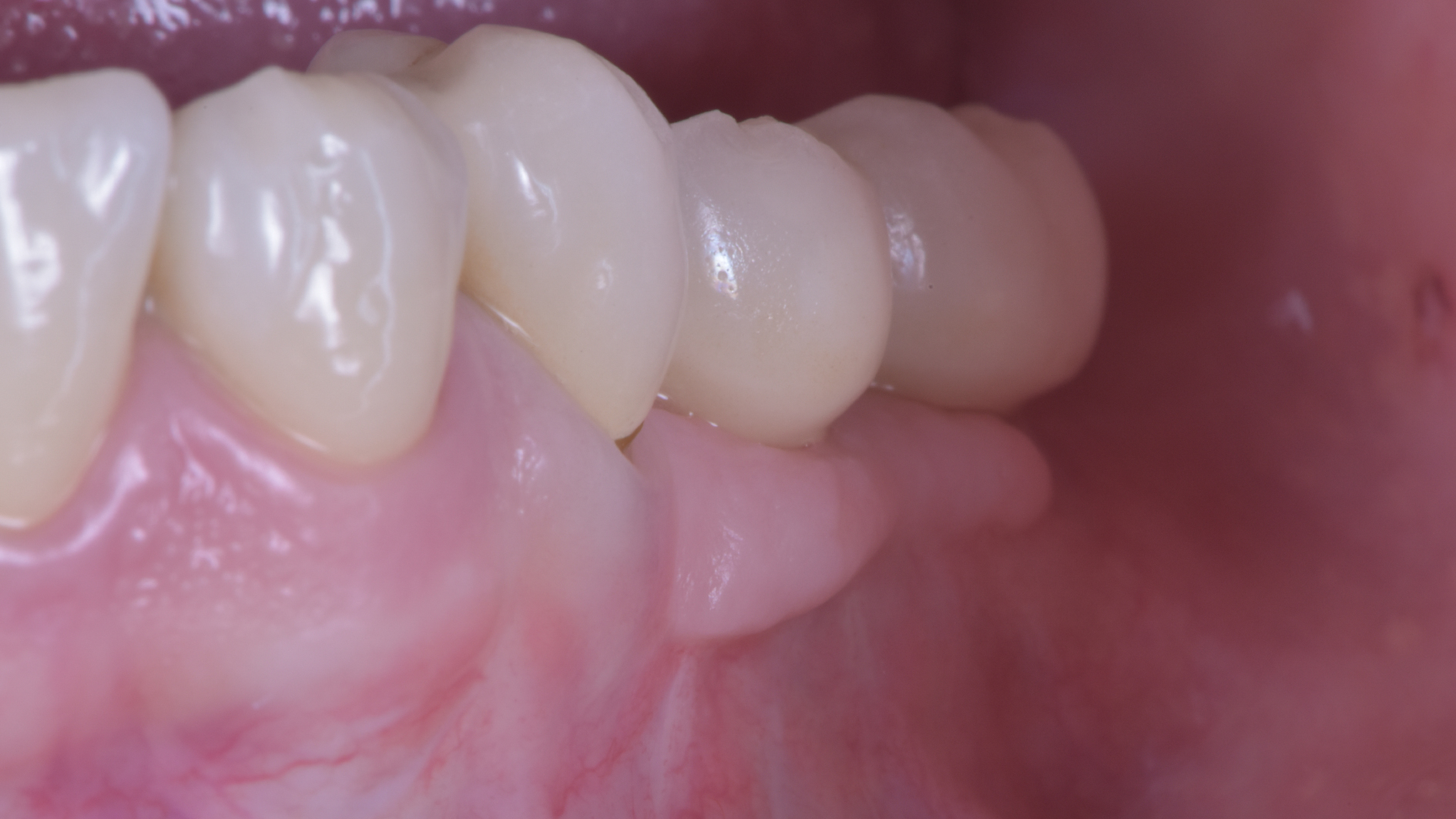
Ecco i risultati dei due casi:
Nel secondo, ad esempio, un ponte non è paragonabile alla soluzione ricostruttiva che ho attuato. Neanche lontanamente! Quindi è inutile dire
“il ponte sarebbe stato meno invasivo”
Perché il ponte non era la terapia giusta in questo caso! PUNTO! Avrebbe richiesto un sacrificio biologico drammatico in una ragazza di 28 anni e avrebbe portato ad un estetica diciamo “discutibile” vista la mancanza di volume rosa residuata dopo la rimozione dell’impianto infetto.
E non sto parlando solo di casi drammatici come quelli sopra.
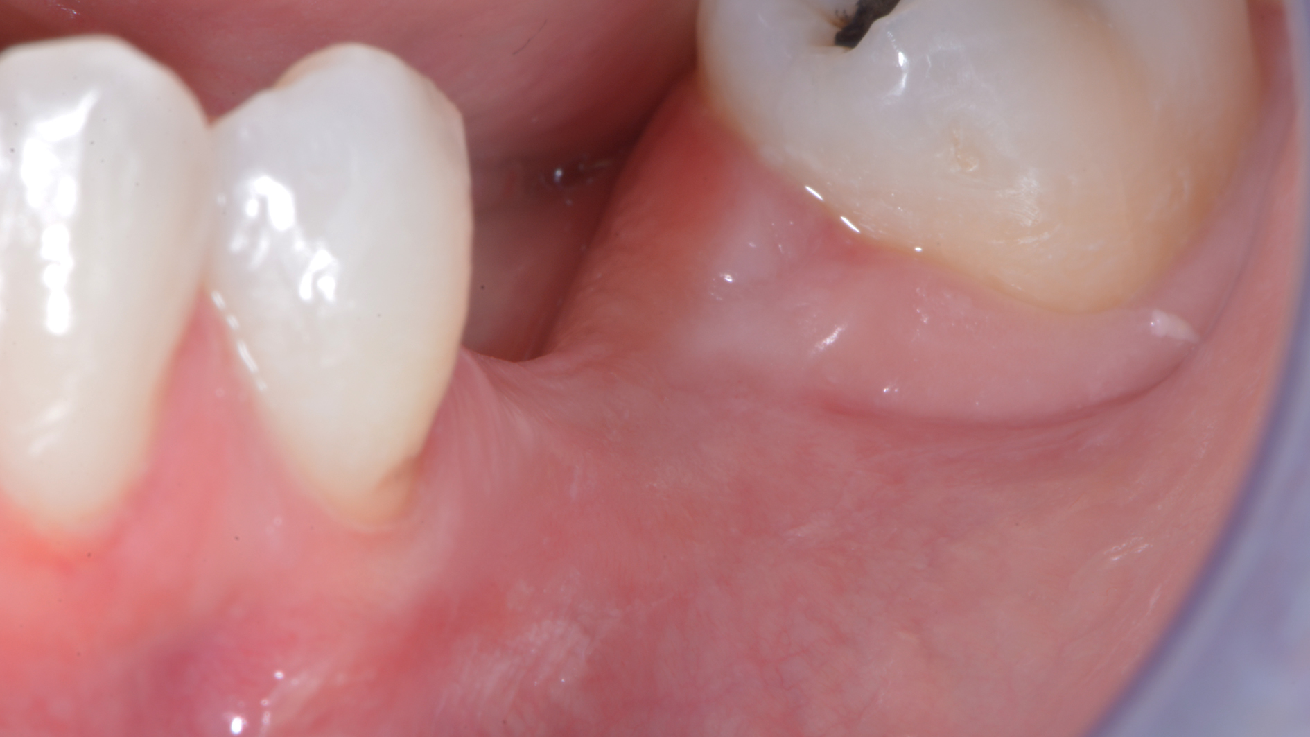
Prendiamo un caso quotidiano. Quello di Alessia che ha 33 anni:
Puoi buttare giù due viti e metterci sopra due denti facendo una cosa molto lontana dalla natura.
O puoi riabilitare la paziente adeguatamente:
Ma per fare questo non ci sono polverine magiche di osso di dinosauro o impianti di un millimetro. Ci sono anni di studio, sudore e sangue (E SGUARONE!!) per noi… e un VAS 2 per la paziente!!!!!!! ?
Soprattutto se sei giovane e pieno di entusiasmo RIFIUTA QUESTO DOGMA FASULLO, datti da fare, aumenta il tuo skill e riabilita i tuoi pazienti come si deve!
Per dimostrarti ciò che sto dicendo ti regalo un video che ripassa l’intera tecnica di prelievo dal ramo mandibolare. Il prelievo che vedrai è durato nella realtà 15 minuti e il grado di soddisfazione del paziente a 7 giorni dall’intervento, quando il ricordo della degenza era bello fresco, era di NOVE (scala 0-10).
Come saprai una parte fondamentale nella riduzione dei sintomi del paziente (e quindi nella riduzione dell’invasività), è la corretta gestione dei tessuti molli ed è per questo che se non hai ancora comprato il mio corso online hai fatto un gravissimo errore!
Costa la stessa cifra che un tuo paziente paga per una cura canalare, ma può darti spunti importantissimi per uscire dalla schiavitù del DOGMA DELL’INVASIVITA’!
Dacci dentro e fagliela vedere!
Federico
Ah dimenticavo…
Scopri di più
4 pensieri su
NON DEVI MAI E POI MAI FARE UN PRELIEVO DAL RAMO. MAI! CAPITO?
Lascia un commento
You must be logged in to post a comment.







Luca
19 Agosto 2017 13:07
Mi complimento con il tuo articolo e soprattutto con il tuo essere motivante e stimolante in tutti i tuoi interventi, comprerò in questi giorni il tuo corso online in versione illimitata, volevo sapere se i tuoi interventi li esegui con l’ausilio del microscopio operatorio o con ingrandimento e quale? Volevo anche sapere se organizzi corsi di formazione nel tuo studio o in altra sede, mi farebbe p piacere ascoltarti e conoscerti da vicino grazie
Luigi
6 Luglio 2018 14:33
Alcuni sconsigliano questi prelievi a favore delle membrane non riass.e mix di chips tra osso autologo e prodotti in commercio.
La tesi è non sempre c’è un ottimale attecchimento tra osso ed osso prelevato
Il tutto confortato da opportuna bibliografia
In merito .
Questo da colleghi che operano in ambiente
come mi sembra di vedere in uno spot della tua struttura , e in sedazione con anestesista a fianco .Dico questo non per contestare niente ma ognuno ha una propria visione e
conforto bibliografico .
Se trovo posto verro ad un corso avanzato.
luigi
26 Luglio 2018 19:48
a che serve inviare commenti se poi cadono nell’oblio del conduttore ?