1 Marzo 2018 581 visualizzazioni Endodonzia Tips & Tricks
LA SACRA TECNICA DELLA DOPPIA MATRICE
Dopo qualche mese di assenza dal blog per evitare di rubare la scena alle martellanti sales letters di Federico, oggi vi voglio parlare di una praticonata che da anni ha un ruolo da protagonista nelle giornate operative di chi nella nostra clinica si occupa di conservativa ed endodonzia.
Si tratta di una di quelle cose “ignoranti” che però funzionano e che evitano interventi chirurgici ai pazienti, snellendo anche le tempistiche necessarie per arrivare alla fine di molti lavori. Il tutto senza perdita di qualità.
La tecnica in questione è talmente efficace che, con alcune varianti, immagino sia già usata da tanti ma, siccome non credo sia descritta in letteratura ho pensato di poter battezzare io con un nome altisonante:
LA SACRA TECNICA DELLA DOPPIA MATRICE.
Il nome mi piace perchè, da buon NERD appassionato di fumetti giapponesi, mi ricorda un po’ quello di una tecnica segreta di arti marziali alla Kenshiro…come la tecnica dell’onda continua di condensazione di cui avevamo già parlato nel post sui Thermafil. ?
Si parte da una situazione veramente molto molto frequente, ovvero dai carioni interprossimali che si estendono per diversi millimetri al di sotto della papilla, invadendo l’ampiezza biologica.
La stessa tecnica però risulta molto utile per riuscire a ricostruire con delle guide carie distali profonde su settimi o ottavi che non hanno più un dente posteriore su cui montare un uncino.
Ora, voglio ripulire fin da subito il post dalla pretesa di rifilarti qualcosa pieno di dietrologie in cui uno fa una praticonata e poi si cerca tutta la letteratura mondiale per fare il figo e difendersi dagli attacchi dei letteraturati.
La SACRA TECNICA DELLA DOPPIA MATRICE è una praticonata empirica nata da una intuizione squisitamente clinica e che negli anni mi ha mostrato di funzionare. Punto.
So che non posso dire che non me ne frega niente dell’ampiezza biologica senza essere fustigato dai parodontologi, che invocano gli studi di Gargiulo & co.
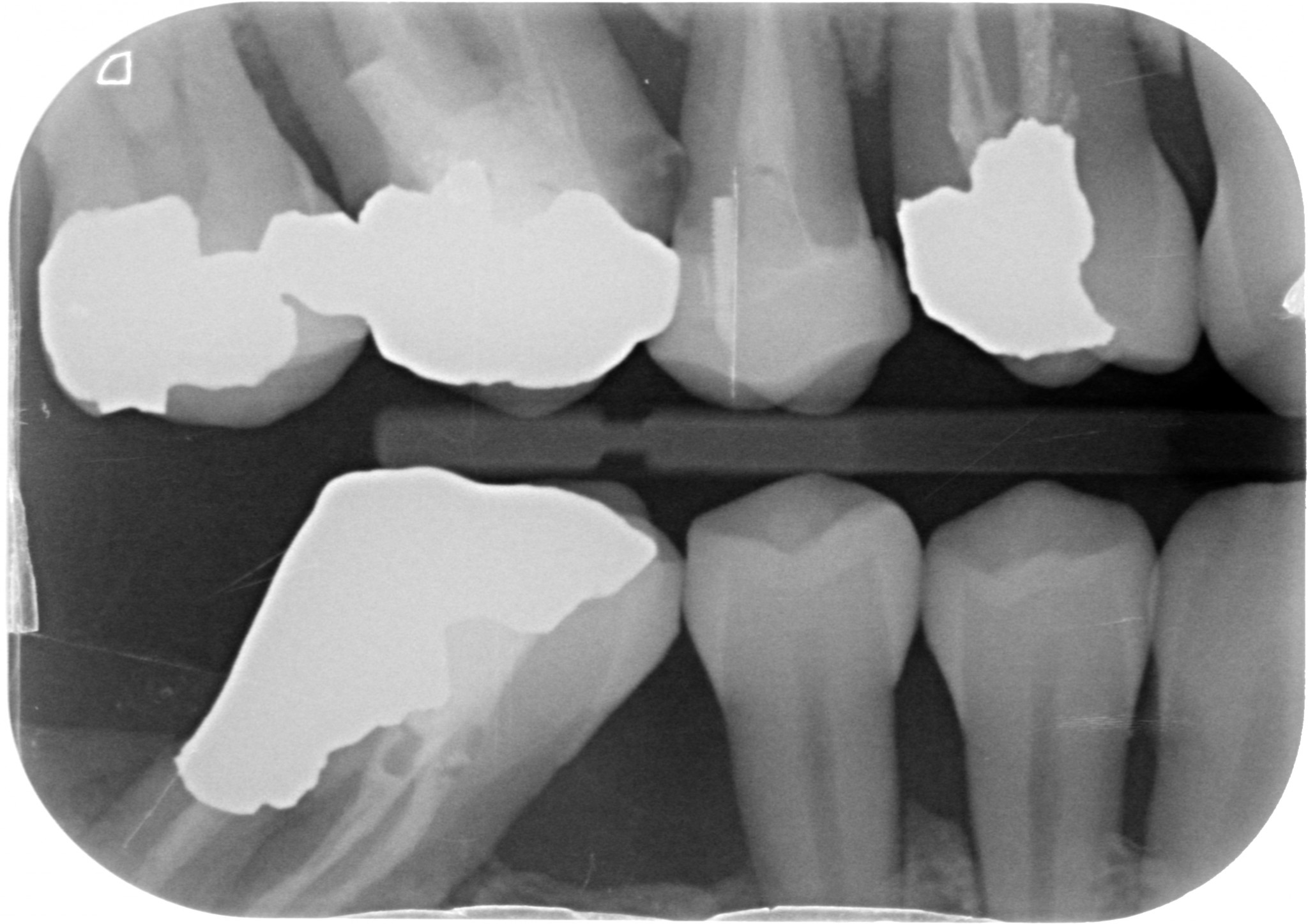
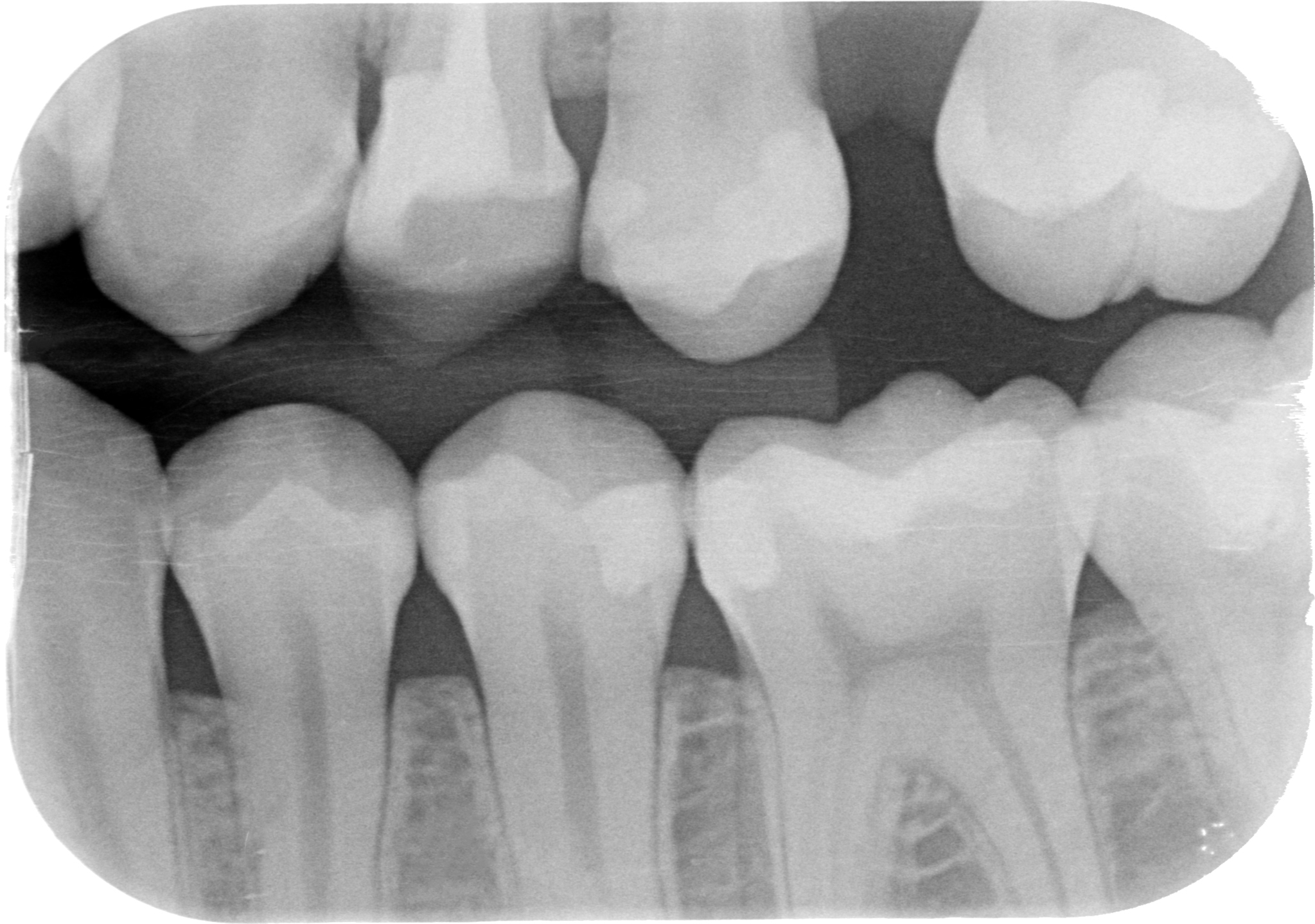
Se invadere l’ampiezza biologica massacra l’osso e genera tasche spiegami perchè in queste due rx scattate a 4 anni di distanza tra loro, l’osso distale al 4.7 mesializzato, che sarà da estrarre per altri motivi, sia sempre uguale, con un risentimento legato alla carie primaria che c’era stata verosimilmente decenni prima…?
Il tutto con una amalgama ben più difficile da rifinire rispetto alla superficie di un composito flow!

A ben vedere questo dentista aveva già scoperto la sacra tecnica della doppia matrice, ma lui la utilizzava con l’amalgama, quindi non vale!?☝️
La letteratura spesso spiega a posteriori cose che funzionano.
Tant’è vero che ad oggi sento parlare di rilocazioni di margine anche in ambienti accademici da nomi importanti della conservativa.
Ben venga che qualcuno ci spieghi in maniera scientifica cosa accade in seguito alle nostre manovre, ma davvero mi vuoi dire che nella tua pratica fai sempre tutto secondo letteratura?
Ti rispondo io. No, non lo fai. Nessuno lo fa.
Nel segreto della nostra saletta, dove tutto resta tra noi e la nostra assistente, quando la macchina fotografica è relegata in un angolino, sappiamo tutti che l’odontoiatria è anche praticoneria.
Mi sa che anche Federico, che la letteratura la conosce abbastanza, fa qualcosa del genere visto che è stato segato due volte alla SIDP pur portando i casi che normalmente ti fa vedere*.
Perfetto.
A me che non sono parodontologo e che non voglio entrare alla SIDP dell’ampiezza biologica non è mai interessato nulla, mentre a Federico sì, e nel nostro studio ci pensa lui a salvaguardarla, ma tanto viene attaccato lo stesso.
Se ti piace il nostro blog so che siamo sulla stessa lunghezza d’onda per cui parliamo delle cose che funzionano, ok?
Partiamo da un assunto. Se ogni volta che ci troviamo qualche millimetro sottogengiva dovessimo fare un allungamento di corona clinica, probabilmente io e Federico apriremmo una succursale Studio di allungamenti di corona clinica Salzano-Tirone.
A meno che sia solo la popolazione piemontese ad avere carioni che si estendono al di sotto della giunzione amelo-cementizia interprossimale, anche tu ti sarai trovato spesso a dover far fronte a questa situazione.
Ragazzo di 20 anni con mega carie mesiale a 2.4. Zona estetica. Spazio tra 2.3 e 2.4 impossibile da affrontare senza far danni con un allungamento di corona clinica.
Sappiamo che in questi casi l’osso interprossimale a volte è ancora intonso, in altri si è già ritirato per l’impatto cronico di cibo che spesso accompagna queste lesioni.
Siccome spesso la cavità necessaria per rimuovere queste lesioni cariose, oltre che profonda, richiede anche un allargamento consistente in senso vestibolo-linguale/palatale, se provi a mettere solamente una matrice sezionale non riesci ad adattarla se non utilizzi un anellino, il quale, però, spesso fa collassare ed accartocciare la matrice, perchè non ha appoggio sufficiente.
Al contempo, una matrice circonferenziale come una Automatrix o una Supermat, non riesce ad arrivare in profondità a livello del gradino cervicale, perchè ostacolata dallo stop che trova dal lato opposto del dente, dove spesso l’osso e la papilla sono più coronali, impedendo a queste matrici di andare in profondità.
Se fai un po’ di conservativa sai perfettamente di cosa parlo.
Di fronte a questa difficoltà molti modificano con le forbicine le matrici circonferenziali, in modo da lasciarle più lunghe dal lato della lesione ma questo accorgimento non funziona bene ed è indaginoso.
Altri millantano di fare un allungamento di corona clinica, ma in realtà scollano solo la papilla e grattano un po’ l’osso interprossimale e montano la diga con la papilla scollata. Questo non è un allungamento di corona clinica, anche se fa figo dire “io se c’è invasione dell’ampiezza biologica faccio sempre un allungamento di corona clinica”.
Quando la papilla aperta verrà risuturata sarà esattamente come era prima e la tasca che tanto temono i detrattori dell’invasione dell’ampiezza biologica, se dovesse formarsi, lo farebbe lo stesso. In realtà, con tutta probabilità, questa non si formerà, ma a parità di risultato con la tecnica che sto per descriverti, mi chiedo a cosa serva stagliuzzare la gente.
La SACRA TECNICA DELLA DOPPIA MATRICE risolve la maggior parte di questi casi senza fare chirurgia.
La tecnica prevede di montare una automatrix di quelle basse (la più piccola) e di inserire, all’interno della sua circonferenza, dal lato interessato dalla lesione, una matrice sezionale che abbia una bella pancia allungata e sufficientemente larga da comprendere in senso orizzontale la cavità (in certi casi ne monto addirittura due una di fianco all’altra per riuscire a girare anche in senso vestibolare o linguale/palatino). Di solito per questo uso le matrici Palodent V3 più alte, quelle che vedi in questa foto.
L’automatrix fa da ottimo appoggio per tenere ferma la matrice sezionale, che può essere portata in posizione utilizzando uno specillo, una Heidemann o una spatola piatta da composito. Una volta che siamo riusciti a guidare la matrice tra gengiva e gradino cervicale, tenendola premuta con un dito, stringiamo l’automatrix con l’altra mano.
La maggior parte delle volte riusciamo ad ottenere un perfetto adattamento al gradino cervicale.
In certi casi si può aggiungere un cuneo, a volte per tenere bene accollate le matrici alle zone che ci interessano spingendolo sottogengiva, in altri casi lo si posiziona più coronalmente solo per stabilizzare l’automatrix.
Se per mettere un cuneo rischi di creare lo stampo del cuneo nelle matrici, puoi valutare di non metterlo. Dipende da quale debba essere la riabilitazione dell’elemento.
Se devi fare un pretrattamento endodontico su un dente che era già monconizzato o che sarà da monconizzare, puoi infischiartene dell’avere un profilo troppo verticale per lo stampo della forma del cuneo.
Ma se stai rilocando un margine per preparare un intarsio o per fare una otturazione, allora devi cercare di sfruttare la naturale curvatura della matrice, magari brunendola addirittura con dei compattatori, per creare un profilo di emergenza più naturale. In questi casi, per evitare possibili soffusioni di sangue o di saliva, puoi tenere la matrice premuta col dito mentre metti l’adesivo e deponi il primo strato di composito flow, che finiscono di dare il sigillo che ci serve.
Quando diventi pratico di questa tecnica impari a gestirla in maniera artistica, ottenendo anche degli ottimi risultati in termini di anatomia.
Si può per esempio ricostruire solo il gradino cervicale per un paio di millimetri e poi smontare le matrici e passare all’utilizzo di una normale matrice sezionale.
In certi casi puoi ricostruirti prima e pareti approssimali verticali, per permettere di appoggiare poi un anello siliconico con una normale matrice sezionale che guidi la formazione di un bel punto di contatto.
In altri casi puoi realizzare un build-up completo, poi smontare le matrici ripreparare un box interprossimale e rifare quella porzione con una matrice sezionale utilizzata in maniera tradizionale per dare un corretto punto di contatto.
In quelle situazioni in cui non riesci a colmare in maniera ottimale la zona interprossimale per la difficoltà nel modellare le matrici, potrai preparare un inlay o un onlay dove cercherai di scendere il più possibile iuxtagengivale, compatibilmente col poter montare la diga in cementazione, in modo da dare la possibilità al tecnico di riprodurre senza gradini la zona del punto di contatto.
Questa tecnica mi permette di risolvere il 90% dei casi di carioni sottogengivali.
Per me quello che conta è sapere di aver chiuso con precisione e in campo sufficientemente asciutto una zona in cui non mi fiderei assolutamente di più di un lavoro fatto dall’odontotecnico, con impossibilità di gestire il cemento e l’adesione.
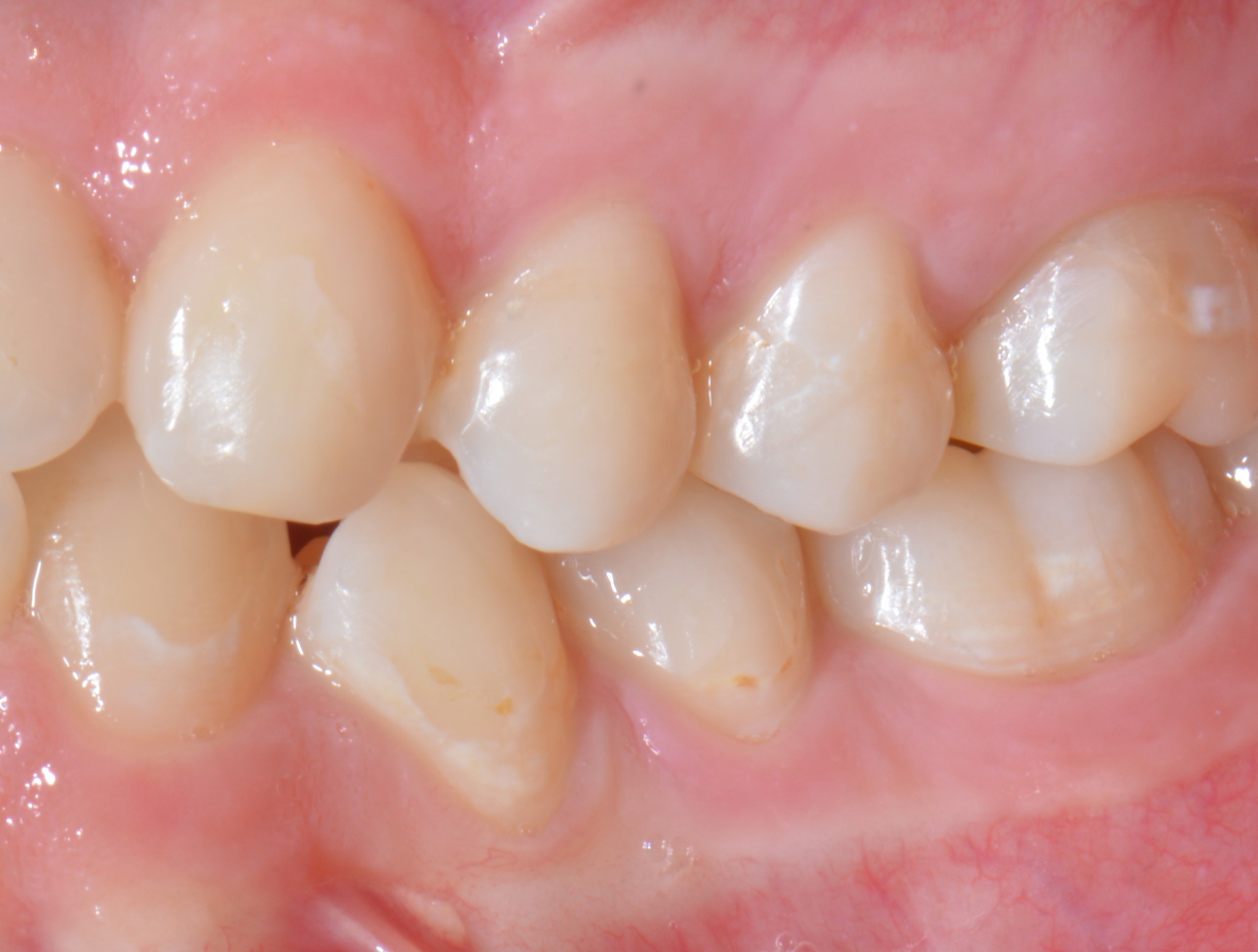
Come puoi vedere dalle immagini qui sotto, il caso che ho mostrato nella rx precedente a 4 anni di distanza mostra che nè l’osso nè la papilla risentono di questo terribile insulto…
Molti detrattori di questa tecnica ti dicono che:
– Invadendo l’ampiezza biologica si formerà una tasca o la papilla sarà sempre infiammata.
– Non riesci a montare la diga
– Non riesci a non far sanguinare perchè vai a insultare direttamente il legamento o l’osso (a cui spesso si appoggia la matrice)
La realtà è che nessun margine potrà essere più preciso di quello che gestisco direttamente con occhialino ingrandente o microscopio, ottenendo una adesione ottimale.
E il composito fluido appoggiato a una matrice è una delle superfici più lisce e meglio rifinite che possiamo ottenere! Il tutto in una zona in cui non ci saranno traumi occlusali e nemmeno da spazzolamento!
La gengiva reagisce benissimo a questa invasione, credimi!
Tant’è vero che la letteratura conferma la possibilità che si formi un attacco epiteliale sul composito.
La diga se vuoi la puoi sempre montare. Alla peggio prima posizioni le due matrici e poi monti la diga facendola scivolare intorno, oppure monti prima la diga, tenendo scostata la parte nella zona interprossimale mentre monti le matrici o “scastrandola” da sotto le matrici prima di spingere la sezionale in posizione.
Ti accorgerai che così facendo a volte perdi solo tempo perchè riesci a tenere asciutto molto meglio senza fare il feticista ottuso della diga, ottenendo una adesione più che buona. Non è la regola, ovviamente, ma in certi casi accetto di riposizionare solo il gradino cervicale senza diga, per poi montarla dopo.
Ogni tanto capita di non riuscire in alcun modo a tenere asciutto o di non riuscire assolutamente a distinguere dove sia il contorno del dente e dove l’osso, e allora passo all’allungamento di corona clinica, tenendo come provvisorio il pretrattamento fatto senza tutti i crismi, per poter fare la cura canalare che sempre accompagna queste cavita “drammatiche”.
Per quanto riguarda il sanguinamento, personalmente ho provato diverse volte a lavorare a lembo aperto con la diga, è trovo molta più difficoltà a non far soffondere per capillarità il sangue in questi casi, che non invadendo l’ampiezza biologica con una matrice, magari stabilizzata con un cuneo o con la pressione del dito, che lascia il poco sanguinamento che c’è in qualche caso nella parte esterna alla “diga” formata dall’impalcatura delle doppie matrici.
In certi casi accetto minime imprecisioni a livello del gradino cervicale che poi mi rifinisco con manipolo EVA, con Soniflex o con striscette abrasive.
Solo lavorando ti accorgi di quanto puoi essere più accurato ad occuparti tu della adesione e della rifinitura di quella zona, piuttosto che il tecnico.
In questo breve video ti faccio vedere come un margine iuxtaosseo possa essere isolato cotto diga con questa tecnica.
L’allungamento di corona clinica sicuramente in certi casi ti semplifica le cose e ti consente di montare la diga più agevolmente,ma spesso danneggia il dente interessato o i denti adiacenti più di quanti benefici dia, visto che comunque, se il dente è troppo compromesso, la difficoltà nel gestire i profili di emergenza del restauro con le matrici rimangono esattamente le stesse.
Dover sacrificare anche l’osso sul versante opposto a quello della lesione cariosa o limare osso e magari anche il dente a fianco sono manovre invasive che comunque creano qualche danno, che produce talvolta papille mancanti che fanno poi fermare cibo o problemi estetici…quando non danneggiano addirittura i tessuti di supporto del dente stesso perchè si lavora senza competenze parodontali.
Il vero allungamento di corona clinica non è un intervento semplice, e infatti nella nostra struttura lo facciamo fare al chirurgo top, Federico. Richiede di saper fare un lembo palatino assottigliato nell’arcata superiore, di sapere cosa fare se non c’è abbastanza gengiva aderente, di saper valutare fin dove spingersi nel rimodellamento dell’osso circonferenziale dell’elemento da allungare senza danneggiare i denti adiacenti o le forcazioni dell’elemento stesso.
Inoltre spesso per eliminare l’osso interprossimale toccherai o freserai il colletto del dente interessato e del dente adiacente, come puoi vedere nei post di Federico sull’allungamento di corona clinica, perchè spesso i denti sono troppo vicini per poter passare in maniera efficace frese o lime manuali.
Spesso se il dente interessato è da monconizzare per preparare una corona, Federico mi chiede di rimpicciolirlo prima dell’allungamento, perchè altrimenti non riesce a fare un buon allungamento.
Ora, o sono tutti grandi chirurghi parodontali, o semplicemente i sedicenti maestri del rispetto dell’ampiezza biologica fanno una papillotomia per montare la matrice, gratticchiano un po’ l’osso nella zona interprossimale (sempre che ci sia lo spazio per farlo), montano diga e matrice e poi risuturano la papilla.
Tutto questo per montare una diga dalla quale spessissimo soffonde sangue per capillarità tra matrice e dente.
E magari per aggiungere al preventivo “allungamento di corona clinica…?
Questa, però, è una semplice rilocazione chirurgica del margine e non evita in alcun modo i rischi di formazione di una tasca che tanto paventano i detrattori della rilocazione con doppia matrice. Se ti trovi più comodo o ti senti più chirurgo a scollare la papilla fallo, ma non otterrai nulla in più che ad utilizzare una doppia matrice. E soprattutto sappi che non stai facendo un allungamento di corona clinica che prevede IL RIPRISTINO DI UN’ANATOMIA POSITIVA!!!
Di sicuro un approccio che in molti casi sarebbe brillante in questi casi è il trazionamento ortodontico seguito da allungamento di corona clinica. Ma così facendo spesso si rischia di finire all’overtreatment, perchè se devo fare qualche mese di trazionamento, montare un apparecchietto, anche solo parziale, con tutti i fastidi del caso, poi fare un intervento chirurgico che non di rado fa male nel post-operatorio, per poi magari fare ancora cura o ritrattamento canalare, ricostruzione con perno, provvisorio in resina e corona…davvero non si finisce più e si fa spendere al paziente più di quanto richiederebbe l’inserzione di un impianto, che magari può essere eseguito anche a carico immediato…
Le discriminanti per scegliere la via del trazionamento ortodontico seguito da allungamento sono:
- l’età del paziente
- la lunghezza della o delle radici del dente interessato
- le valutazioni estetiche e l’affidabilità che comunque può dare il dente nel tempo, visto che nel nostro studio diamo una garanzia decennale sui lavori protesici.
Quel che è certo è che personalmente su me stesso il bisturi allegro non lo farei mettere e sarei ben grato al dentista se me lo potesse evitare, compatibilmente col non farmi una porcata di lavoro. Ovviamente, io e Federico sappiamo gestire ed eseguire anche i casi che richiedono allungamenti di corona clinica, con o senza trazionamento ortodontico. Ma la pratica clinica ci ha convinti a mettere in preventivo un allungamento in prima visita quando si intercettano carie con estensione cervicale consistente, per poi toglierlo se ci accorgiamo di riuscire ad ottenere un buono o ottimo risultato con la SACRA TECNICA DELLA DOPPIA MATRICE.
L’unico problema che mi pongo io nei casi di carioni interprossimali che invadono l’ampiezza biologica è: riesco a togliere tutta la carie e a ricostruire un contorno preciso con una matrice senza avere sangue e saliva che invadono la cavità?
Utilizzando la SACRA TECNICA DELLA DOPPIA MATRICE in moltissimi casi la risposta è sì.
Io e i miei collaboratori la usiamo quasi quotidianamente e quindi non mi vergogno a condividerla con te, anzi, spero che ti sarà utile come lo è stata per me negli anni!
Ti lascio regalandoti un video di 6 minuti che ti mostra come monto la doppia matrice!
Stay tuned!
Stefano
*nota di Federico: Cazzo Salzano! Sei uno sputtanatore!?
4 pensieri su
LA SACRA TECNICA DELLA DOPPIA MATRICE
Lascia un commento
You must be logged in to post a comment.





Alessandro
1 Marzo 2018 11:56
Tecnica interessante ma sul 4 hai creato un profilo concavo a livello cervicale che non va bene. Saresti dovuto reintervenire per correggerlo a parer mio.
Gianluca
1 Marzo 2018 12:24
La uso da tanto tempo e sono perfettamente d’accordo con te
Riccardo
1 Marzo 2018 13:20
un articolo utilissimo!!! grazie mille per averlo pubblicato!!
..ce lo avessero fatto vedere all’università…
giovanni
1 Marzo 2018 17:53
Bravi ragazzi ! quando 30 anni fa ci facevamo il mazzo per essere bravi c’eravamo già arrivati! Perché noi liberi professionisti Italiani siamo i più fighi….. ed abbiamo insegnato a tutto il mondo…..esclusa l’ università che sa tutto ma non lavorare !