30 Marzo 2023 318 visualizzazioni Chirurgia
[video] trattamento chirurgico di una mandibola atrofica
Due giorni fa un collega mi ha chiesto pubblicamente su Facebook un consiglio su questo caso
La domanda era se, secondo me, si potesse eseguire una riabilitazione fissa su impianti. Questo articolo, e soprattutto il video che segue, vogliono essere i miei suggerimenti al collega e a chiunque altro volesse ritenerli utili.
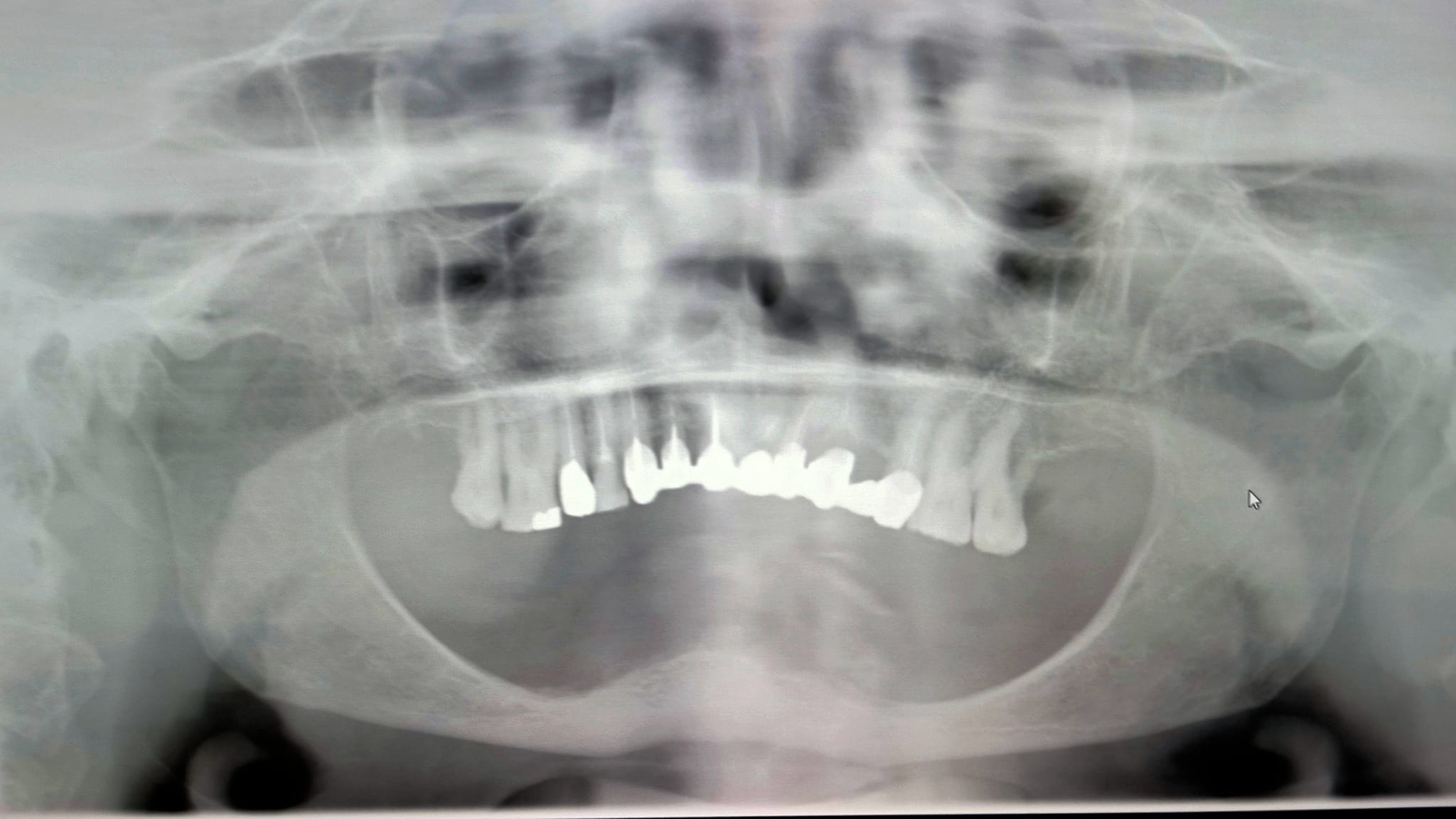
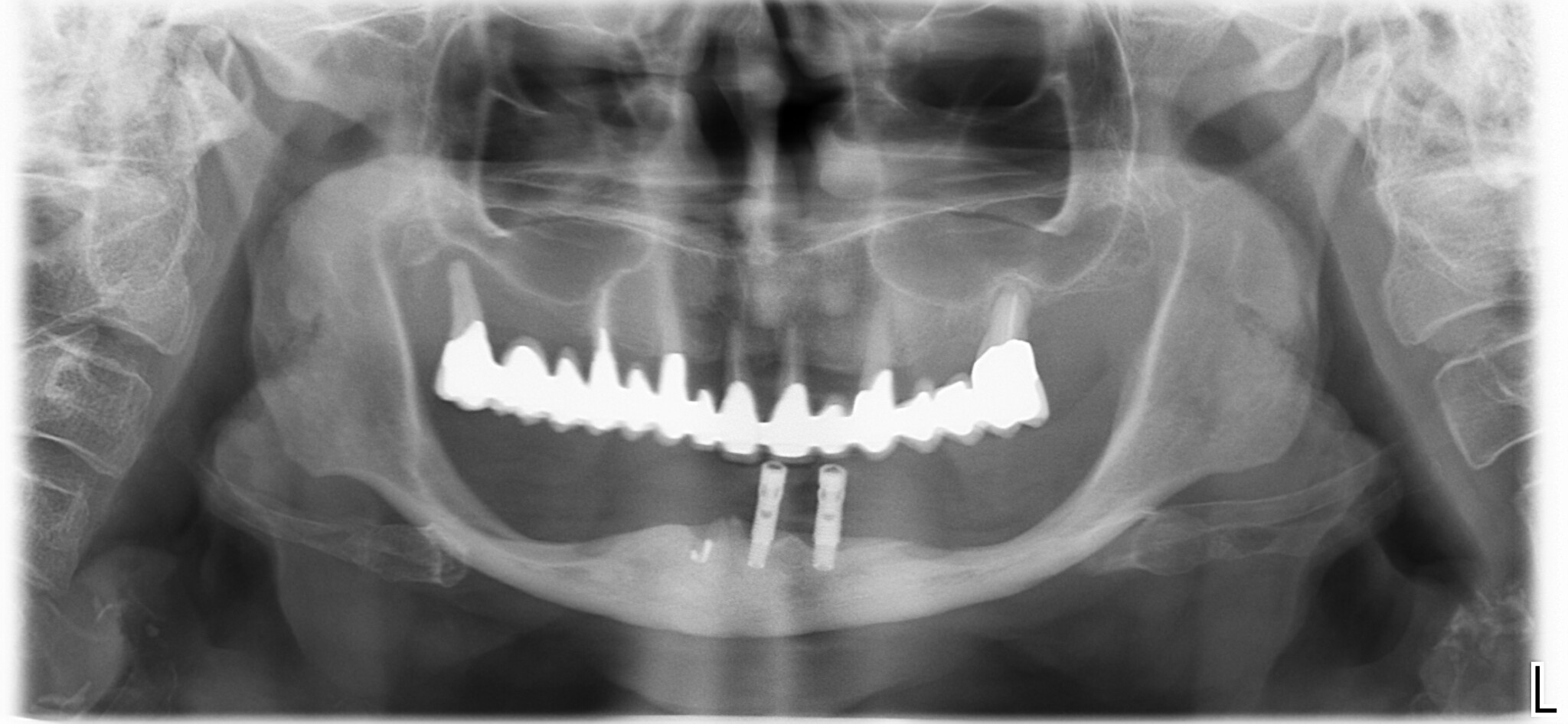
Parleremo del trattamento di questa mia paziente, trattata cinque anni fa, che mi sembra molto simile a quello del collega.
Mi preme intanto fare una considerazione su un argomento che mi sta molto a cuore ma che so essere ancora molto controverso nella comunità odontoiatrica: la standardizzazione.
Fortunatamente la maggior parte dei colleghi sta iniziando ad accettare il fatto che le procedure e le tecniche operative (in questo caso chirurgiche) debbano essere standardizzate e basate sulla migliore evidenza scientifica disponibile.
Poiché l’evidenza in letteratura, su argomenti di vecchia data come l’implantologia, di solito è univoca e ci sono prese di posizione ed indicazioni delle società scientifiche su vari argomenti, queste ultime dovrebbero essere utilizzate per definire i propri protocolli operativi.
Per fare un esempio, già nel 2012 l’ EAO, dichiarava che non sembra esserci motivo per inserire più di 4 o 6 impianti nella riabilitazione di un’arcata e che il trattamento con 4 impianti era, già allora, una soluzione ben documentata… ergo non c’è motivo di mettere più di 4 impianti. Quindi la riabilitazione di una mandibola edentula sarà un all-on-4, sempre e comunque… a meno che non ci siano controindicazioni assolute all’implantologia le quali comprendono anche, ovviamente, la non solvibilità economica.
Come vedi però, nell’arco di un capoverso siamo passati da indicazioni cliniche e operative ad un protocollo DECISIONALE, detto in altro modo, ad una STANDARDIZZAZIONE DECISIONALE ed è proprio questa che moltissimi colleghi ancora non riescono ad accettare.
Vogliono valutare, considerare, ipotizzate, soppesare…. mille fattori la cui influenza sul successo del trattamento non trova però alcuna rispondenza nella letteratura scientifica.
E allora vogliono conoscere lo spessore dell’osso (scontato in un caso del genere), l’età del paziente, gli anni trascorsi con la dentiera, addirittura la sua manualità… non mi stupirei se qualcuno andasse a valutare anche il morfotipo del cranio, i cicli masticatori, la postura della schiena o l’appoggio delle piante dei piedi sul pavimento .
Tutto ciò, mi dispiace, non ha alcuna influenza sul trattamento ottimale che resta, appunto: quattro impianti dritti intraforaminali con 12 denti avvitati sopra.
La stessa cosa avviene negli ospedali e nelle sale operatorie di alto livello dove da una quindicina di anni a questa parte, grazie al lavoro di colleghi illuminati come Pronovost e Gawande, vengono seguite linee guida standardizzate indicate da checklist e flow-chart.
Il medico deve capire che l’errore è dietro l’angolo, soprattutto in situazioni di stress, e la standardizzazione è la migliore via per ridurre al minimo l’errore umano.
Ora che hai capito come la penso riguardo a (quasi) tutte le mandibole edentule del mondo penso sia arrivato il momento di dare un’occhiata al mio intervento di 5 anni fa che magari qualcuno potrà trovare utile… e sai una cosa? Oggi, 5 anni dopo, avrei fatto esattamente gli stessi movimenti… nello stesso ordine!
A pensarci bene, in realtà, avrei cambiato due cosine, perché ricordati che STANDARDIZZAZIONE non significa immobilismo ma perfezionamento continuo delle procedure sulla base delle nuove evidenze.
A presto!
video
2 pensieri su
[video] trattamento chirurgico di una mandibola atrofica
Lascia un commento
You must be logged in to post a comment.


Giuseppe
31 Marzo 2023 09:40
Ottimo.
Ma “spianare” quanto ? Bisogna considerare la cresta posteriore e fare osteotomia raggiungendo la stessa altezza ?
Ti son capitati casi in cui intraforaminale non hai lo spazio mesio distale per 4 impianti ?