4 Dicembre 2018 294 visualizzazioni Chirurgia
VIDEO – TECNICA CHIRURGICA COMPLETA DELL’ INNESTO GENGIVALE LIBERO
L’ innesto gengivale libero è una tecnica che uso moltissimo in chirurgia implantare ma non mi entusiasma in parodontologia perché la trovo una roba vecchia.
Però ci sono alcuni rari casi che indiscutibilmente lo richiedono. Per lo più questa tecnica potrebbe esserti utile quando vuoi migliorare il biotipo gengivale in pazienti che non riescono a mantenere l’igiene e nei quali la ricopertura radicolare sarebbe impredicibile o proprio impossibile.
L’altra settimana un collega che ha partecipato al mio corso di chirurgia avanzata mi ha chiesto un consiglio per il trattamento di un caso praticamente identico a questo…
Gli ho promesso che avrei postato un video con la tecnica completa ed eccomi qua.
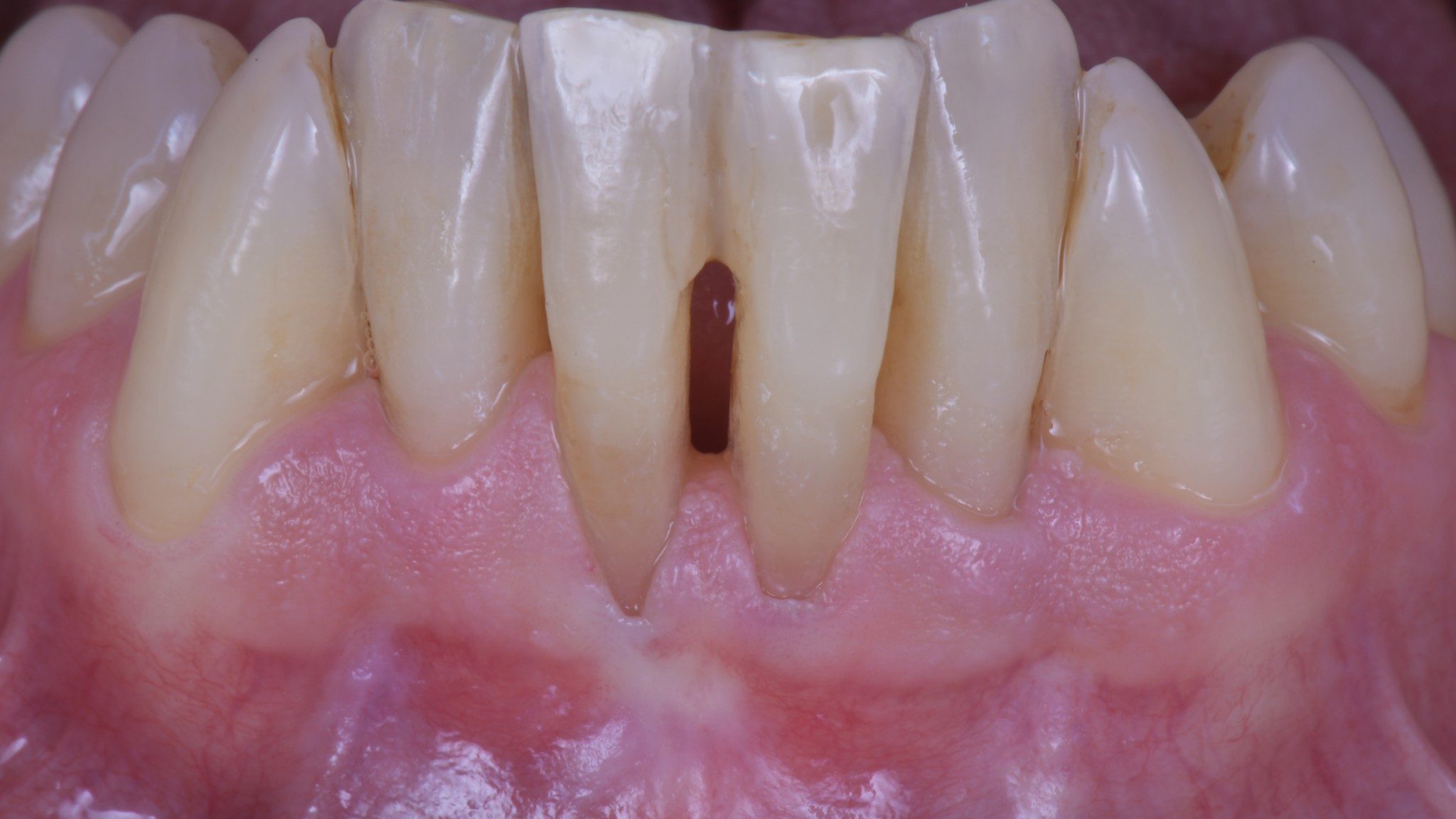
Il mio paziente si era presentato in visita con una ferita ricorrente da spazzolamento facilitata dalla scarsa qualità dei tessuti e dalla completa assenza di tessuto cheratinizzato.
In un caso del genere, vista la grave perdita di attacco, una ricopertura radicolare completa sarebbe ovviamente impossibile ed una ricopertura parziale sarebbe difficilmente predicibile nel risultato. Dopo la terapia causale e le istruzioni d’igiene con conseguente risoluzione della lesione, ho allora deciso di limitarmi a creare una banda di tessuto cheratinizzato che consentisse al paziente di spazzolare sereno…
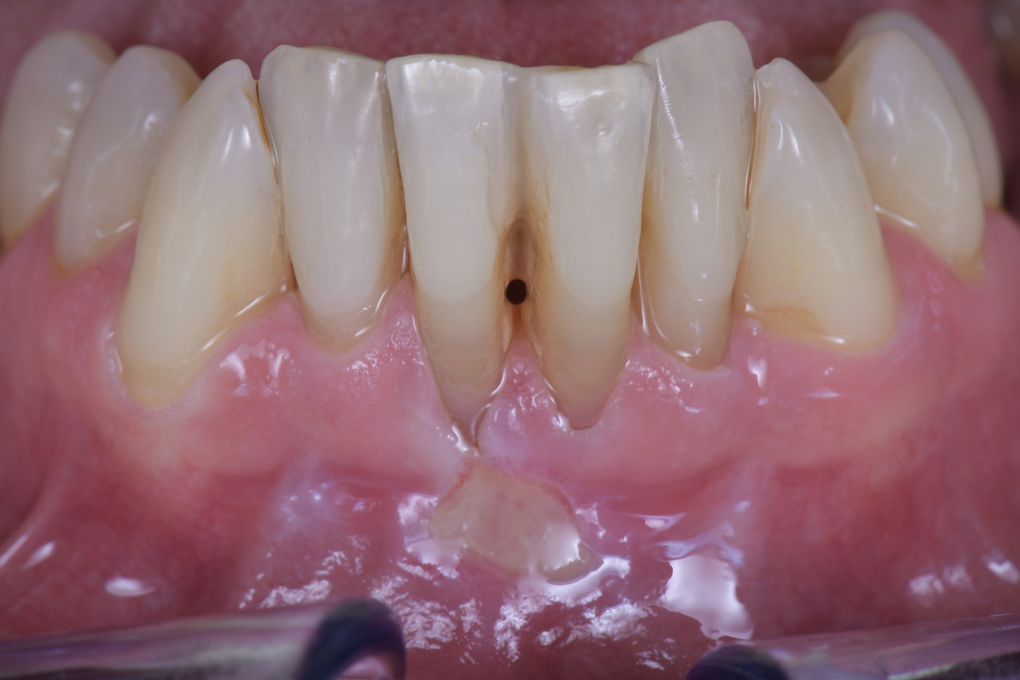
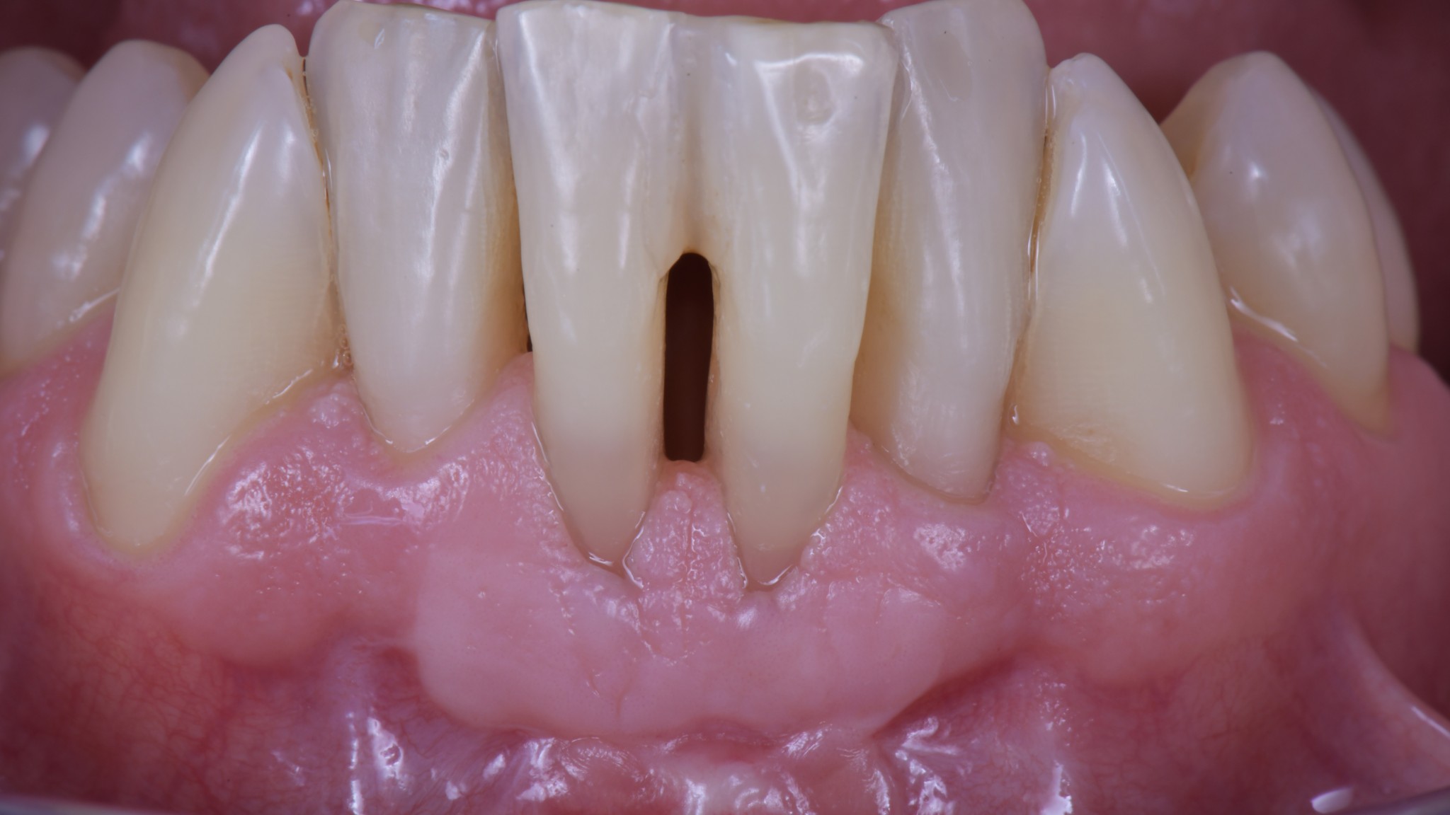
Questa è la situazione tre mesi dopo la chirurgia. L’estetica è un’altra cosa ma per questo paziente l’importante era riuscire a mantenere…
Ora come promesso ti lascio al video.
Non dimenticare di iscriverti alla newsletter per ricevere i nostri video e i nostri articoli. Ogni tanto ti buttiamo lì un bel corso a pagamento ma, con i contenuti che ti mandiamo, anche senza lasciarci mai un euro potrai pigliarti un bel po’ di succhio.
A presto
Federico

