15 Novembre 2016 228 visualizzazioni Chirurgia
TI SVELO COME NON FARE CASINI IN IMPLANTOLOGIA, DORMIRE NOTTI SERENE (e trasporre un foro mentoniero secondario)
Mi capita abbastanza spesso di visitare pazienti che mi dicono frasi del tipo:
“dottore lì l’impianto non si può mettere, il mio vecchio dentista ha iniziato l’intervento poi ha richiuso e mi ha detto che non c’era osso”
Oppure (giuro che qui cito testualmente le parole di un paziente!):
“mi stava facendo un rialzo di seno poi ha iniziato ad agitarsi e lanciare occhiate all’assistente, poi mi ha fatto QUINDICI panoramiche, ogni volta tornavo sulla poltrona, faceva qualcosa e via…un’altra panoramica”
O ancora:
“per togliere quel dente del giudizio ci sono volute TRE ORE, il dentista era tutto sudato, un’esperienza drammatica!”
Per non parlare dei pazienti con impianti sparati nel seno mascellare o che non sentono più metà del labbro inferiore.
Ovviamente tutto ciò ha alcune conseguenze ben prevedibili:
- Procedimenti medico-legali a carico del precedente dentista.
- Allontanamento del paziente dallo studio del precedente dentista.
- E sputtanamento pubblico del precedente dentista presso parenti, amici e conoscenti.
Poi se ti va male le conseguenze possono essere anche ben più gravi (https://www.ncbi.nlm.nih.gov/pmc/articles/PMC4393988/pdf/medoral-20-e231.pdf) con il paziente che potrebbe dover essere intubato o peggio tracheotomizzato o addirittura sottoposto a invasivi interventi di chirurgia vascolare per legare vasi maggiori che potrebbero comportare danni ischemici ad altre strutture. E tutto per mettere un dentino del quale magari il paziente non sentiva neanche tanto la necessità.
Ad oggi posso dirti che, pur essendo uno dall’impianto facile (con più di 15000 impianti inseriti) posso contare una sola anestesia parziale definitiva del labbro inferiore causata durante il mio primo intervento di GBR molti anni fa, nessuna complicanza emorragica maggiore, nessun impianto sparato nel seno, un solo rialzo di seno “richiuso” per ingestibile perforazione della membrana ma soprattutto NESSUNA RICHIESTA DI RISARCIMENTO.
E tutto questo non perché sono più bravo ma solo perché fortunatamente qualcuno (in particolare il mio primo maestro Franco) all’inizio della mia carriera mi ha insegnato a VALUTARE ATTENTAEMNETE OGNI CASO PRIMA DI METTERE MANO AL BISTURI.
Vediamo il caso di un paziente che mi è capitato di operare qualche settimana fa, dovevo mettere impianti su 4.4, 4.6, 3.4 e 3.6:
Lo spessore in cresta era buono, c’era una bella quantità di tessuto cheratinizzato e la panoramica ci assicurava in zona 4.6 una disponibilità ossea in altezza prima del canale di 12,4mm (con fattore di ingrandimento già applicato dal software). Non so cosa avresti fatto tu ma sicuramente molti colleghi avrebbero operato il paziente senza eseguire una radiografia tridimensionale o perché forti della loro esperienza di centinaia e centinaia di impianti messi per decine di anni o perché ancora insicuri nel rapporto col paziente e incapaci di proporre le giuste scelte diagnostiche:
“Se il paziente lo mando a fare una TAC a pagamento poi quello non mi torna più e lo perdo….”
Beh io, nonostante la mia esperienza di migliaia e migliaia di impianti, una radiografia tridimensionale la faccio praticamente sempre prima di intraprendere un intervento implantare ed in casi come quello che ti ho mostrato sopra che sembrano semplici e lineari si possono scoprire anatomie insidiose che possono portare a danni vascolari alquanto pericolosi se affrontate senza consapevolezza.
Tu che impianto avresti messo in questo caso?
Io avrei messo un 10mm. Due millimetri di sicurezza dal nervo e via.
Adesso andiamo a vedere la cone-beam che sicuramente, secondo qualcuno, si sarebbe potuta evitare….
Se avessimo messo un impianto da 10mm nella zona del sesto con un asse protesicamente corretto avremmo proiettato tre o quattro millimetri delle nostre frese rotanti nella loggia sottomandibolare con tutti i danni potenziali che questi avrebbe potuto generare (se non l’hai ancora fatto vai poi a leggere l’articolo che ho linkato prima!).
Magari avremmo visto un copioso sanguinamento dal foro osteotomico e ci avremmo di corsa ficcato l’impianto a mo’ di tappo per vedere poi piano piano infarcirsi il pavimento della lingua e vedere il paziente che cominciava a diventare dispnoico e cianotico.
BRUTTA ROBA solo per aver sottovalutato l’approccio diagnostico ad un intervento banale! Non credi!
Ora lascia che ti mostri un altro caso che mi è capitato di recente.
Il signor Franco, nostro paziente da quasi dieci anni, qualche mese fa ha finalmente deciso di mettere gli impianti che gli avevamo proposto nel lontano 2007. Già dalla foto dovresti notare una marcata atrofia verticale e orizzontale. Come mio solito faccio fare una radiografia tridimensionale per progettare l’intervento in sicurezza e spiegare al paziente esattamente cosa andrò a fare durante la seduta chirurgica…
sai quella cosa che si chiama consenso informato?… Ripeto, a me la situazione “ha aperto e ha visto che l’impianto non si poteva fare” non è mai capitata.
Ora guarda attentamente…….
….Ancora….
Cosa vedi? Ok, una bella atrofia orizzontale, associata ad una modesta atrofia verticale. Come possiamo trattare una atrofia verticale associata ad una orizzontale? (rimanendo all’interno dell’evidence based medicine per carità!)
Te lo dico io: GBR (con vari tipi di barriere) o innesti a blocco. Io utilizzo entrambe le tecniche ma in questo caso, per una serie di motivi che forse un giorno discuteremo, ho optato per l’innesto a blocco.
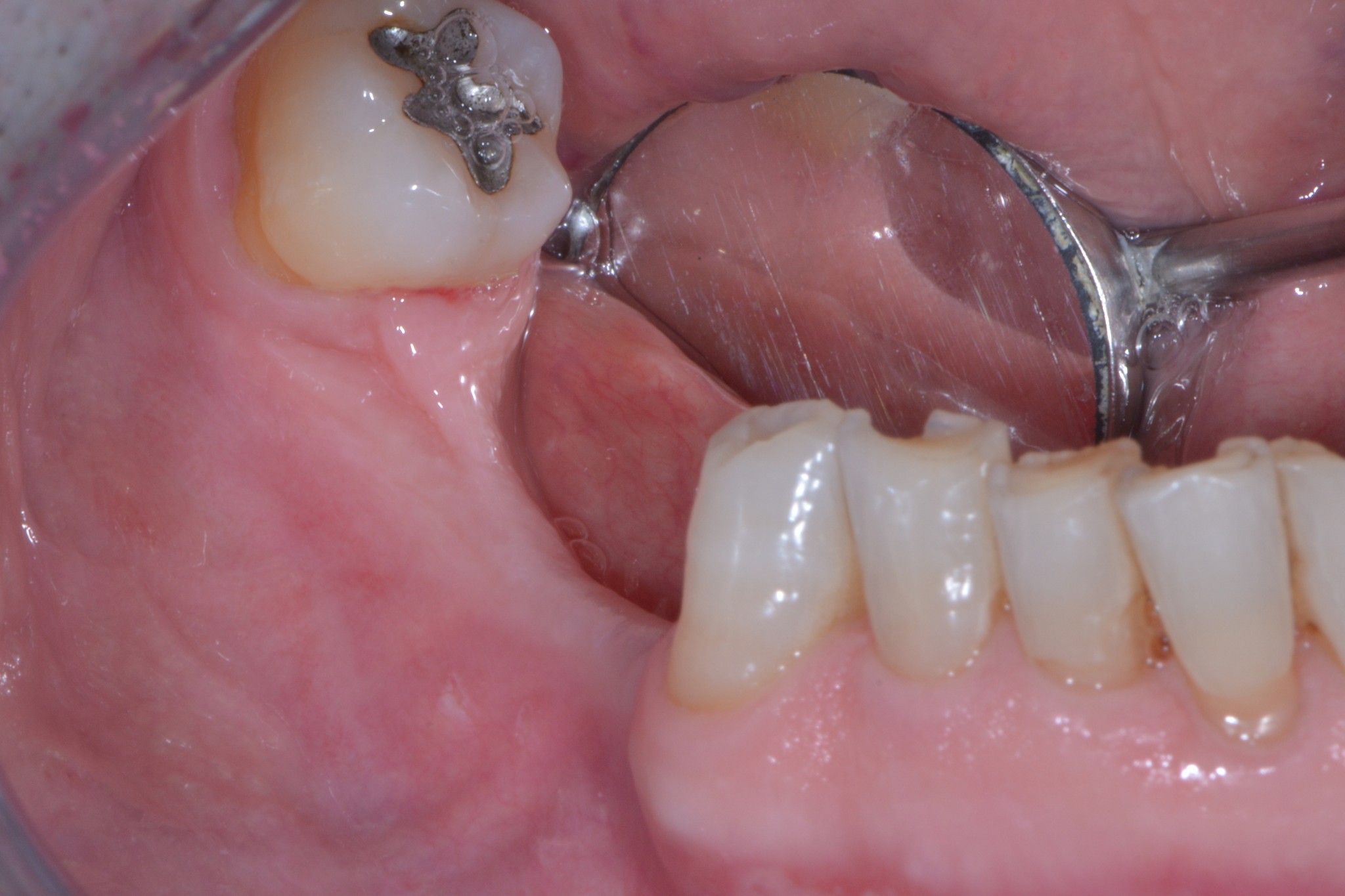
Hai guardato bene le immagini? Possiamo partire? BISTURI!!
FERMO!!
Avevi notato questo? Dai tagli della cone-beam si nota chiaramente una variante anatomica abbastanza importante: un foro mentoniero accessorio posizionato più o meno a metà tra la cresta e il foro primario, diciamo circa 7 mm apicalmente alla cresta, dal quale emerge un ramo di diametro rilevante del nervo alveolare inferiore. Chissà a quale parte del mento o del labbro porta le sensibilità quel piccolo ramo!? Diciamo che per mantenere immacolato il mio palmares medico legale preferisco non scoprirlo!
Solo adesso che il caso ci è ben chiaro possiamo iniziare il nostro intervento avendo le idee ben chiare, un paziente ben informato e una buona probabilità di non fare cazzate.
Infatti ben poco sotto il livello della cresta compare l’infame…
Se lo lasciamo lì ovviamente non possiamo ricostruire un bel niente, ti faccio allora vedere come ho risolto io la situazione, ma a parte il tecnicismo chirurgico spero che il messaggio ti sia chiaro:
SE VUOI EVITARE DI SPUTTANARTI IL NOME, LA CARRIERA, IL PORTAFOGLI E LA SERENITA’ NOTTURNA VALUTA ATTENTAMENTE I CASI PRIMA DI METTERE MANO AL BISTUTRI!









