12 Settembre 2016 593 visualizzazioni Endodonzia
IL RIASSORBIMENTO ESTERNO: QUESTO SCONOSCIUTO
Il riassorbimento esterno è uno di quei fenomeni che secondo me tanti dentisti non sanno nemmeno che esiste.
Figuriamoci se sanno come trattarlo.
Sperando che tu sia tra i colleghi che sanno di cosa sto parlando, faccio una brevissima introduzione al problema per tutti gli altri.
Anche se non si sa ancora quale sia il motivo per cui questo succede, ogni tanto i denti sviluppano una reazione infiammatoria per cui, a partenza dal margine cervicale del dente, si viene a creare una sostituzione di tessuto duro dentale con un tessuto di granulazione ad opera di osteoclasti.
Sembra che il tutto parta da un danno occorso a livello della giunzione amelo-cementizia e questo accade soprattutto in concomitanza di
- traumi
- sbiancamento endodontico
- ortodonzia
- terapie parodontali chirurgiche
Nonostante ci siano anche altre ipotesi eziologiche, quelle sopraelencate sono le principali correlazioni che si trovano in anamnesi nei pazienti che sviluppano riassorbimenti esterni.
Ma cosa succede esattamente ai denti interessati da questo fenomeno?
In pratica si viene a formare un tessuto sanguinante che clinicamente assomiglia ad osso nei processi di vecchia data o a tessuto nervoso in quelli più “giovani” che prende il posto della dentina.
Ti voglio raccontare come ho scoperto clinicamente cosa fosse un riassorbimento esterno.
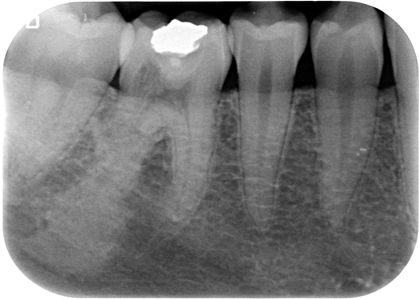
Sì, perchè ora faccio il figo, ma nel non lontano 2011, mi arriva una paziente con questo dente.
E questa è stata la mia reazione.
Cosa caspita era capitato a questo dente? Allarmato faccio vedere la radiografia a Federico, il mio socio, e anche lui pensa a qualcosa di brutto. Che so, un tumore di quelli incomprensibili che avevamo studiato solo sui libri di radiologia che si era insinuato all’interno di questo 4.6! ???
Cosa ho pensato di fare allora? Una cavità esplorativa e una biopsia di quel tessuto!
Quando ho aperto la cavità come per fare un’otturazione con mia somma sorpresa il dente sanguinava dove avrebbe dovuto esserci dentina! E non smetteva…???
Con un cucchiaino ho prelevato un po’ di quel misterioso tessuto, probabilmente impiantato da qualche alieno nel sonno, pensavo io, alla povera malcapitata e dopo aver fatto questo prelievo delicatissimo ho continuato a scavare fin dove potevo cercando un tessuto sano ma facendo estrema fatica a capire se a un certo punto mi trovavo sul nervo o se era ancora il dente a sanguinare.

Non volendo arrivare alla devitalizzazione, perché non avrei saputo come portarla a termine in mancanza della radice distale, ho fatto un’otturazione in composito.
Dopo una settimana paziente asintomatica e referto arrivato.
Pensavo che la diagnosi potesse essere qualcosa tipo, carcinoma dentoso, oppure tessuto di origine sconosciuta, porbabilmente appartenente a razza aliena.
Invece il responso fu:
“frustoli di tessuto sclerocalcifico”
Credo che l’istologo ne avesse capito tanto quanto me.
Dopo 5 anni la ragazza ha ancora un dente asintomatico e la rx indica che il processo si è arrestato.
Questo perché involontariamente avevo messo in atto una terapia corretta ad un problema che non conoscevo. Avevo rimosso nel miglior modo possibile fin dove potevo il tessuto di granulazione arrestando o rallentando il processo di distruzione del dente.
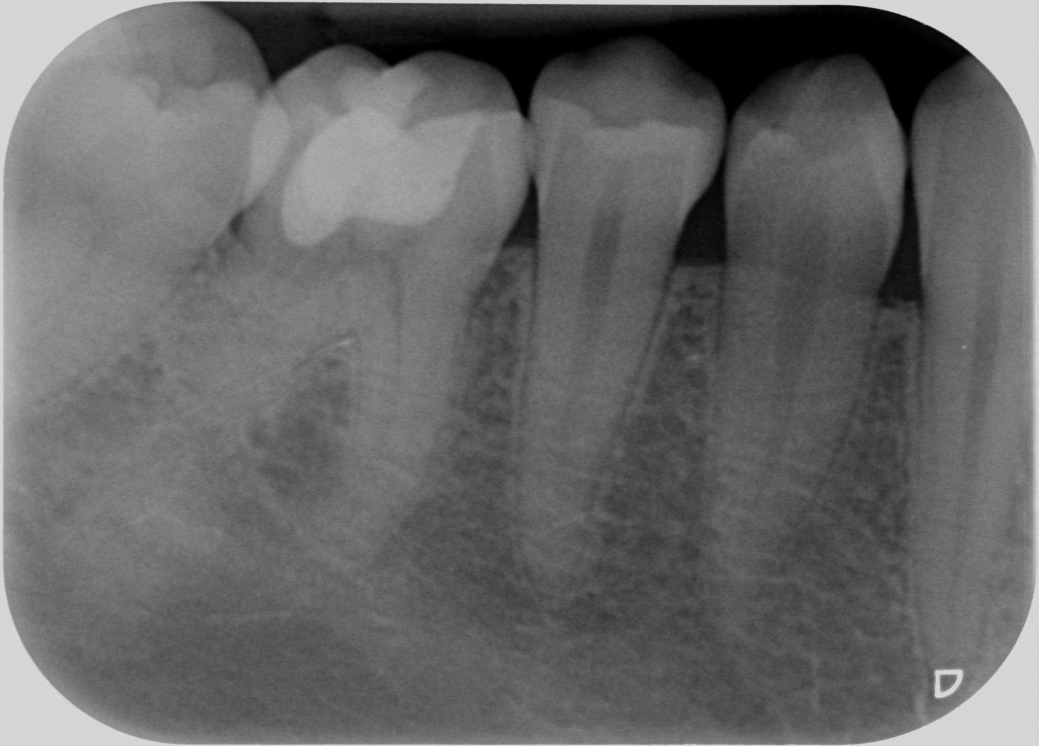
Quando nel 2013 mi è arrivato all’attenzione questo caso
Ho riconosciuto lo stesso fenomeno visto nella ragazza infestata da tessuti alieni di cui sopra e mi sono ricordato che all’università si era parlato di riassorbimenti esterni.
Allora ho studiato il fenomeno e ho saputo fare una diagnosi.
Si trattava di un riassorbimento esterno di classe IV.
Nel 1999, infatti, Heithersay classifica i riassorbimenti in quattro classi (Heythersay, 1999):
- la classe 1 prevede un piccolo riassorbimento in zona cervicale con una superficiale penetrazione nella dentina;
- la classe 2 presenta un riassorbimento ben definito che penetra vicino alla camera pulsare con poca o nessuna estensione nella dentina radicolare;
- la classe 3 vede estendersi il riassorbimento al terzo coronale della radice;
- la classe 4 identifica i riassorbimenti estesi ed invasivi che si estendono oltre il terzo coronale della radice
Perfetto.
La terapia prevede la rimozione del tessuto di granulazione per via ortograda o per via chirurgica e il riempimento del difetto con composito, come se fosse una otturazione, nel caso dei difetti di classe 1 e 2 (spesso si rende necessario associare questo a cura canalare e allungamento di corona clinica). Nei riassorbimenti esterni di classe 3 o 4 il difetto viene spesso riempito con MTA visto che spesso si verificano comunicazioni col parodonto (io ad oggi uso la Biodentine, ma questo sarà oggetto di un altro post).
Ooooook. Proprio quando ero pronto ad intervenire, questa volta sapendo cosa stavo facendo, leggo che Heithersay consigliava di non intervenire nei riassorbimenti esterni di classe 4 perché il successo che potevo attendermi era del 12,5%!!!! (Heithersay, 1999)
Ma guardando un dente in apparenza sano, che dava alla paziente, che era in corso di trattamento con apparecchio invisibile, solamente un senso di presenza, potevo pensare di estrarre il dente?
Sicuramente no
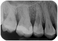
Allora per capirci qualcosa in più ho fatto una cone beam.
A questo punto mi sono chiesto:
“possibile però che un difetto perfettamente identificabile e raggiungibile con microsopio o anche solo con occhialini ingrandenti, sia qualcosa di fronte al quale arrendersi?”
Del resto Heithersay operava negli anni antecedenti al 1999, quando ingrandimenti e microscopio non erano così diffusi e nemmeno l’utilizzo di scansioni tridimensionali dei denti. E se leggi l’articolo in cui descrive la tecnica che utilizzava vedrai che rabbrividirai. Con quella tecnica antidiluviana mi stupisco che abbia avuto un successo così alto!
Come potrai vedere in questo video, il mio pensiero non faceva una piega. Con microsopio e cone beam operare casi del genere è una cosa è perfettamente fattibile e, ti dirò, non è nemmeno difficile.
Visto?
E tu credi che questo dente durerà meno di 3 anni? A meno che non ci sia un cataclisma in questi due mesi, ti posso già anticipare di no, perché a novembre questa cura compirà tre annetti e il dente è perfetto sia clinicamente che radiograficamente.
Che non serva averne fatti 1000 per affrontare questa terapia lo dimostra il fatto che questo per me era il primo.
Da allora di riassorbimenti di classe 4 ne ho fatti altri 4 e ho pubblicato la casistica prima sul Journal of Endodontics e poi sul Giornale Italiano di Endodonzia, dopo aver vinto il Premio Lavagnoli al congresso nazionale della SIE presentando i 4 casi suddetti.
E nel frattempo ho affrontato con la stessa tecnica almeno altri 5-6 casi di classe 3 o 2, mentre ne ho riparati per via chirurgica altri 3 o 4, non mi ricordo in questo momento.
Questo insegna due cose:
La prima: i riassorbimenti esterni non sono rari, ma solo difficili da diagnosticare nelle fasi precoci perché assomigliano a carie.
La seconda: se sai cosa fare e usi il cervello non devi avere una esperienza clamorosa o frequentare decine di corsi per decine di anni, prima di fare qualunque cosa.
Io sono passato da perfetto cretino nel 2011 a grande esperto del settore nel giro di due anni e di soli due casi!
Di riflessioni sui riassorbimenti esterni ce ne sono ancora molte da fare. Vorrei infatti parlarti di come penso di proporre una nuova classificazione del problema in base alla possibilità di terapia e vorrei mostrarti tanti altri video.
Visto che questo non è un corso completo sull’argomento ma una pillola che voglio regalarti, spero che ti abbia incuriosito e ti consiglio di continuare a seguirci perché ne vedrai delle belle!
Stefano
1 pensieri su
IL RIASSORBIMENTO ESTERNO: QUESTO SCONOSCIUTO
Lascia un commento
You must be logged in to post a comment.














Anna Bressan
18 Novembre 2025 14:12
Ottimo articolo, davvero illuminante sul tema del riassorbimento esterno. È chiaro che una diagnosi tempestiva e una corretta gestione sono cruciali per il successo del trattamento.
Grazie ancora per condividere la tua esperienza e le tue riflessioni!