9 Settembre 2016 214 visualizzazioni Chirurgia
PERCHE’ A VOLTE TROVI BRUTTE GUARIGIONI ALLA RIMOZIONE SUTURA. TRE SEGRETI PER LA GESTIONE CHIRURGICA DEI TESSUTI MOLLI.
C’è un detto che gira nelle università di odontoiatria, o almeno in quella da cui vengo io. Recita più o meno così:
“(TRANQUILLO) IN BOCCA GUARISCE TUTTO”
Un bel detto da vecchio dentista che se togliendo un dente rompeva una radice e strappava un po’ di gengiva non si preoccupava più di tanto perché dopo qualche settimana era tutto a posto. Poi ci metteva un bel dentierone sopra e via, tutto dimenticato.
Oggi la situazione è un po’ diversa. La chirurgia orale è una parte fondamentale dell’approccio odontoiatrico alla maggior parte dei pazienti adulti. Dove prima si limavano due denti oggi si mette un impianto. Dove prima si metteva una dentiera oggi si mettono un po’ di impianti. Dove prima si faceva il circolarone metallo-ceramica oggi si fanno restauri singoli in ceramica integrale che richiedono chirurgia mucogengivale per l’ottimizzazione estetica. Dove prima si toglieva un dente parodontosico alla volta aggiungendolo man mano sullo scheletrato, oggi si salvano i denti con la chirurgia parodontale…etc etc…
Se però ci approcciamo alla chirurgia con la filosofia del “tanto in bocca guarisce tutto” viene fuori un bel casino. Un gran bel casino. Siamo tutti d’accordo che alla fine la gengiva si chiude. (A parte casi estremi ?) non c’è dubbio a riguardo. Ma ottenere i risultati per i quali la chirurgia è stata messa in atto è tutta un’altra cosa. Te lo assicuro.
Se ti approcci alla chirurgia orale da cazzaro avrai quindi tre problemi in particolare:
- Farai interventi inutili perché non otterrai i risultati che vuoi. In termini di marketing odontoiatrico questo si traduce in: I PAZIENTI SI INCAZZERANNO E ANDRANNO A CURARSI ALTROVE!
- Farai casini che porteranno a danni permanenti sulle strutture nobili del cavo orale. In termini di marketing odontoiatrico questo si traduce in: I PAZIENTI SI INCAZZERANNO E, OLTRE AD ANDARE A CURARSI ALTROVE, TI FARANNO CAUSA!
- Avrai delle guarigioni di merda e questo sai come si traduce in termini di marketing? I PAZIENTI MAGARI RIMARRANNO A CURARSI DA TE MA TI FARANNO UNA PUBBLICITA’ DI MERDA.
Oggi vorrei trattare il tema del punto tre. E darti tre trucchetti per fare in modo che i tuoi pazienti parlino molto bene di te dopo gli interventi.
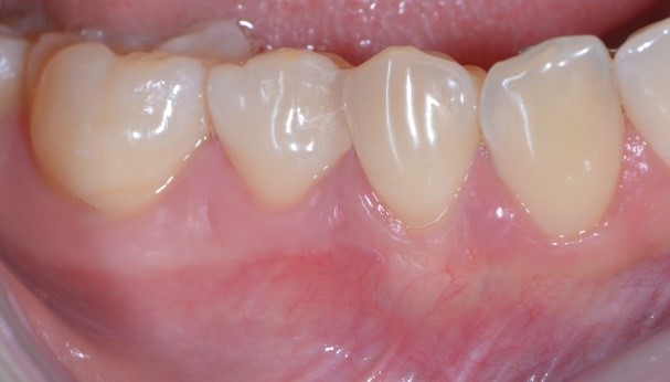
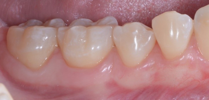
Cosa vedi di strano nella foto qui sotto? Ti sembra che la gengiva di Francesca abbia dei problemi?
Io direi proprio di no e sicuramente tu non puoi che concordare con me. Una bella gengiva rosa e sana.
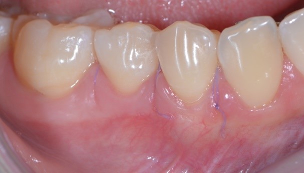
C’è un trucchetto di mezzo però. Devo confessarti che ho usato Photoshop, ma non per cambiare lo stato di salute dei tessuti (non saprei neanche come fare in verità!!) guarda qui cos’ho fatto…
Ho semplicemente cancellato via i punti di sutura. Sì perché quello è proprio l’aspetto della guarigione a 10 giorni di un lembo a spostamento coronale multiplo con innesto di connettivo prelevato dal palato! Concorderai con me che è un intervento abbastanza “aggressivo”. Si deve scollare un lembo a spessore misto, sezionale le fibre muscolari, spostare coronalmente il lembo, prendere un pezzo di “gengiva” dal palato (qui di solito i pazienti rabbrividiscono) e ficcarla sotto il lembo.
Gonfiore, ematomi, dolore, infezioni e, come se non bastasse, la gengiva torna giù e il tutto non è servito ad un cazzo ?. Tutto questo sicuramente può avvenire ma SICURAMENTE AVVIENE CON FREQUENZA E INTENSITA’ MOLTO MAGGIORE SE NON GESTIAMO CORRETTAMENTE I TESSUTI DURANTE LA NOSTRA CHIRURGIA.
Vediamo il caso iniziale. Francesca presentava recessioni multiple con accentuata ipersensibilità dentinale.
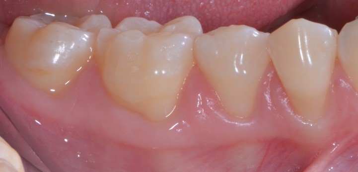
Perché, secondo te, Francesca ha accettato di farsi tagliuzzare in 2 punti per risolvere questo problema? Te lo spiego io: perché io sapevo di poterle dare questa guarigione a 10 giorni
e questa a sei mesi.
Questa consapevolezza mi ha permesso di proporle la cosa nel modo giusto e lei non ha avuto dubbi nell’accettarla. E anche se qualcuno nel mondo parodontale critica la chirurgia mucogengivale, sono convinto che abbia fatto benissimo ad accettarla!
Ora voglio farti vedere l’intervento e svelarti tre trucchetti per migliorare la tua gestione chirurgica dei tessuti molli, spero possano esserti utili!…




